Wielu moich pacjentów, widząc u siebie cofające się dziąsła, zadaje mi to samo pytanie: czy utracona tkanka może się samoistnie odrodzić? W tym artykule rozwieję wszelkie wątpliwości dotyczące regeneracji dziąseł, przedstawię najczęstsze przyczyny ich cofania się oraz omówię skuteczne metody leczenia, zarówno te profesjonalne, jak i wspierające działania, które możesz podjąć w domu. Celem jest nie tylko dostarczenie rzetelnej wiedzy, ale przede wszystkim wskazanie realnych rozwiązań dla Twojego zdrowia jamy ustnej.
Utracone dziąsła nie odrosną poznaj realne metody odbudowy i zatrzymania recesji
- Utracona tkanka dziąsłowa nie regeneruje się samoistnie, co oznacza, że raz cofnięte dziąsła nie wrócą na swoje pierwotne miejsce bez interwencji.
- Główne przyczyny cofania się dziąseł to niewłaściwa higiena, agresywne szczotkowanie, paradontoza, czynniki genetyczne oraz wady zgryzu i nałogi.
- Kluczowe jest zatrzymanie postępu choroby poprzez prawidłową higienę i regularne wizyty u periodontologa.
- Nowoczesna stomatologia oferuje skuteczne metody leczenia, takie jak skaling, kiretaż, przeszczepy dziąseł czy sterowana regeneracja tkanek.
- Domowe sposoby wspierają leczenie i profilaktykę, ale nie odbudują utraconych dziąseł.
- Nie ignoruj objawów takich jak krwawienie, nadwrażliwość czy ruchomość zębów, gdyż wymagają one pilnej konsultacji ze specjalistą.
Czy dziąsła się regenerują? Prawda i realne możliwości leczenia
Prosta odpowiedź na kluczowe pytanie: czy utracone dziąsło samo odrośnie?
Niestety, muszę od razu rozwiać wszelkie złudzenia utracona tkanka dziąsłowa, która uległa zanikowi w wyniku recesji lub zaawansowanej paradontozy, nie ma zdolności do samoistnej, pełnej regeneracji i powrotu na swoje pierwotne miejsce. To jest kluczowa informacja, którą zawsze przekazuję moim pacjentom. Proces ten jest w dużej mierze nieodwracalny bez interwencji specjalistycznej. Celem leczenia jest przede wszystkim zatrzymanie postępu choroby, a następnie, jeśli to możliwe, odbudowa utraconych struktur za pomocą nowoczesnych technik.
W przypadku recesji dziąseł kluczowe jest zrozumienie, iż tkanka ta nie odrośnie sama. Interwencja stomatologiczna jest niezbędna, aby zatrzymać proces i, w miarę możliwości, odbudować utracone struktury.
Dlaczego tkanka dziąsła nie zachowuje się jak skóra na kolanie?
Wiele osób dziwi się, dlaczego dziąsła nie regenerują się tak łatwo jak, dajmy na to, skóra po skaleczeniu. Różnica tkwi w specyfice tkanki i środowisku, w którym się znajduje. Skóra ma ogromny potencjał regeneracyjny, a jej komórki szybko się dzielą, aby zamknąć ranę. Dziąsła, choć również są tkanką miękką, są nieustannie narażone na działanie bakterii, sił mechanicznych podczas żucia oraz sił związanych ze szczotkowaniem. Kiedy dochodzi do recesji, czyli cofnięcia się brzegu dziąsła, odsłonięta zostaje powierzchnia korzenia zęba. Tkanka dziąsłowa, która się cofnęła, nie ma naturalnych mechanizmów, aby "wspiąć się" z powrotem na korzeń i ponownie się do niego przytwierdzić. Procesy chorobowe, takie jak przewlekłe stany zapalne, dodatkowo hamują wszelkie naturalne próby regeneracji, prowadząc do dalszego zaniku.
Od zapalenia do recesji: jak wygląda mechanizm zaniku dziąseł?
Mechanizm zaniku dziąseł jest zazwyczaj procesem postępującym. Zaczyna się niewinnie od nagromadzenia płytki bakteryjnej na powierzchni zębów i wzdłuż linii dziąseł. Jeśli płytka nie jest regularnie usuwana, twardnieje, tworząc kamień nazębny. Bakterie bytujące w płytce i kamieniu wywołują stan zapalny dziąseł, czyli gingivitis. Dziąsła stają się zaczerwienione, opuchnięte i krwawią podczas szczotkowania. Jeśli ten stan zapalny nie zostanie wyleczony, może przekształcić się w bardziej zaawansowaną chorobę przyzębia paradontozę. W paradontozie bakterie i stan zapalny zaczynają niszczyć nie tylko dziąsła, ale także więzadła ozębnej i kość, które utrzymują zęby w zębodole. W efekcie dziąsła zaczynają się cofać, odsłaniając korzenie zębów, a w zaawansowanych przypadkach dochodzi do rozchwiania, a nawet utraty zębów.

Skąd bierze się problem? Najczęstsze przyczyny cofania się dziąseł
Zrozumienie przyczyn cofania się dziąseł jest kluczowe, aby skutecznie zatrzymać ten proces i zapobiec dalszym uszkodzeniom. Jako periodontolog, często widzę, że problem wynika z kombinacji kilku czynników.
Niewłaściwa higiena: cichy zabójca Twoich dziąseł
To jeden z najczęstszych winowajców. Niewłaściwa higiena jamy ustnej, polegająca na nieregularnym lub nieskutecznym szczotkowaniu i nitkowaniu, prowadzi do nagromadzenia płytki bakteryjnej. Płytka, jeśli nie jest usuwana, mineralizuje się, tworząc twardy kamień nazębny. Zarówno płytka, jak i kamień są siedliskiem bakterii, które produkują toksyny, wywołujące stan zapalny dziąseł. Przewlekłe zapalenie, jak już wspomniałem, jest prostą drogą do recesji i paradontozy. Regularne i dokładne usuwanie płytki jest więc absolutną podstawą zdrowych dziąseł.Zbyt mocne szorowanie: kiedy dbanie o zęby przynosi więcej szkody niż pożytku
Paradoksalnie, nadmierne dbanie o higienę, a raczej nieprawidłowe dbanie, może być równie szkodliwe. Zbyt agresywne szczotkowanie zębów, używanie twardej szczoteczki, a także niewłaściwa technika szczotkowania (np. szorowanie poziome) mogą prowadzić do mechanicznego uszkodzenia delikatnej tkanki dziąsłowej. Dziąsła, poddawane ciągłemu urazowi, zaczynają się cofać, odsłaniając szyjki zębowe. Wiele osób myśli, że im mocniej szorują, tym lepiej czyszczą zęby, a prawda jest taka, że delikatność i precyzja są tu znacznie ważniejsze.
Paradontoza: wróg numer jeden zdrowego uśmiechu
Paradontoza, czyli zapalenie przyzębia, to zaawansowana choroba, która jest główną przyczyną utraty zębów u dorosłych. W przeciwieństwie do zwykłego zapalenia dziąseł, paradontoza atakuje nie tylko dziąsła, ale także kość i więzadła, które utrzymują zęby. Proces ten prowadzi do powstawania tzw. kieszonek dziąsłowych, w których gromadzą się bakterie, pogłębiając zniszczenia. Utrata kości i tkanek miękkich jest tu znaczna, a co najważniejsze, nieodwracalna bez profesjonalnej interwencji. Zatrzymanie paradontozy jest kluczowe dla powstrzymania dalszej utraty tkanek, jednak nie spowoduje ich samoistnej odbudowy.Genetyka, zgryz i nałogi: czynniki, na które nie zawsze masz wpływ
Oprócz higieny i techniki szczotkowania, istnieją inne czynniki, które mogą przyczyniać się do problemów z dziąsłami:
- Czynniki genetyczne: Niektórzy ludzie mają naturalnie cienki biotyp dziąsła, co sprawia, że są bardziej podatni na recesje, nawet przy prawidłowej higienie. To coś, z czym się rodzimy i na co nie mamy wpływu.
- Wady zgryzu: Nieprawidłowe ułożenie zębów lub wady zgryzu mogą prowadzić do nierównomiernego rozkładu sił podczas żucia, co może obciążać niektóre zęby i dziąsła, prowadząc do ich cofania się.
- Bruksizm: Nocne zgrzytanie zębami lub zaciskanie szczęki (bruksizm) to ogromne obciążenie dla zębów i przyzębia. Stałe, nadmierne siły mogą prowadzić do uszkodzenia tkanek i recesji.
- Palenie tytoniu: Palenie papierosów jest jednym z najgroźniejszych czynników ryzyka dla zdrowia dziąseł. Nikotyna zwęża naczynia krwionośne, upośledzając ukrwienie dziąseł, co utrudnia ich regenerację i sprawia, że są bardziej podatne na infekcje i choroby przyzębia.
Zatrzymaj proces cofania dziąseł: co możesz zrobić już dziś?
Skoro wiemy już, że utracone dziąsła nie odrosną same, kluczowe staje się działanie. Moim celem jest zawsze zatrzymanie postępu choroby i, w miarę możliwości, odbudowa utraconych tkanek. Pamiętaj, że nigdy nie jest za późno, aby zacząć dbać o swoje dziąsła.
Pierwszy krok to diagnoza: dlaczego wizyta u periodontologa jest niezbędna?
Zawsze podkreślam, że samodzielne próby leczenia są niewystarczające, a często mogą nawet pogorszyć sytuację. Pierwszym i najważniejszym krokiem, jeśli zauważasz u siebie objawy cofających się dziąseł, jest wizyta u specjalisty periodontologa. Tylko on jest w stanie postawić prawidłową diagnozę, ocenić stopień zaawansowania problemu oraz zidentyfikować jego przyczyny. Na podstawie kompleksowego badania (w tym często zdjęć rentgenowskich) periodontolog opracuje indywidualny plan leczenia, który będzie dopasowany do Twoich potrzeb. Bez profesjonalnej diagnozy, wszelkie działania mogą okazać się nieskuteczne lub nawet szkodliwe.
Od teorii do praktyki: jak prawidłowa higiena zmienia zasady gry?
Prawidłowa higiena jamy ustnej to absolutna podstawa i filar zdrowych dziąseł. Bez niej żadne leczenie nie przyniesie długotrwałych efektów. Oto kluczowe kroki, które powinieneś wdrożyć:
- Delikatne szczotkowanie miękką szczoteczką: Zmień swoją twardą szczoteczkę na miękką lub bardzo miękką. Szczotkuj zęby dwa razy dziennie, przez co najmniej dwie minuty, stosując delikatne, okrężne ruchy lub ruchy wymiatające od dziąsła do korony zęba. Unikaj agresywnego szorowania.
- Regularne nitkowanie przestrzeni międzyzębowych: Codzienne używanie nici dentystycznej lub szczoteczek międzyzębowych jest niezbędne do usunięcia płytki bakteryjnej i resztek pokarmowych z miejsc niedostępnych dla szczoteczki. To właśnie tam najczęściej zaczynają się problemy.
- Używanie płynów do płukania ust: Płyny do płukania ust, zwłaszcza te zawierające chlorheksydynę (stosowane krótkotrwale i pod kontrolą lekarza) lub naturalne składniki antybakteryjne, mogą wspomagać redukcję bakterii i stanów zapalnych.
- Regularne wizyty kontrolne i profesjonalna higienizacja: Nawet przy najlepszej higienie domowej, kamień nazębny może się gromadzić. Regularne wizyty u higienistki stomatologicznej (co 6-12 miesięcy, a w przypadku problemów z dziąsłami nawet częściej) na profesjonalny skaling i piaskowanie są niezbędne.
Rola diety i stylu życia w walce o zdrowe przyzębie
Nie zapominajmy, że zdrowie jamy ustnej jest integralną częścią ogólnego stanu zdrowia. Dieta i styl życia mają ogromny wpływ na kondycję dziąseł:
- Dieta bogata w witaminę C: Witamina C jest kluczowa dla produkcji kolagenu, który jest podstawowym składnikiem tkanki dziąsłowej. Jej niedobór może prowadzić do osłabienia dziąseł i zwiększonej podatności na krwawienia. Włącz do diety cytrusy, paprykę, brokuły.
- Unikanie przetworzonej żywności i cukru: Cukry są pożywką dla bakterii odpowiedzialnych za próchnicę i choroby dziąseł. Ograniczenie ich spożycia to prosty sposób na zmniejszenie ryzyka.
- Rzucenie palenia: Jeśli palisz, rzucenie nałogu to jedna z najlepszych rzeczy, jakie możesz zrobić dla swoich dziąseł i ogólnego zdrowia. Poprawa ukrwienia dziąseł po zaprzestaniu palenia jest znacząca.
- Redukcja stresu: Stres może osłabiać układ odpornościowy, czyniąc organizm bardziej podatnym na stany zapalne, w tym te w jamie ustnej.
Kiedy leczenie jest pilne? Objawy, których absolutnie nie wolno ignorować
Niektóre objawy są sygnałem alarmowym, że konieczna jest natychmiastowa konsultacja ze stomatologiem lub periodontologiem. Nie ignoruj ich:
- Krwawienie dziąseł: Nawet niewielkie krwawienie podczas szczotkowania czy nitkowania jest sygnałem stanu zapalnego. Zdrowe dziąsła nie krwawią.
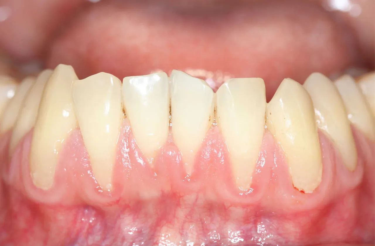
- Nadwrażliwość zębów: Odsłonięte szyjki zębowe często reagują bólem na zimne, gorące, słodkie lub kwaśne pokarmy. To znak recesji.
- Optyczne wydłużenie zębów: Jeśli zęby wydają się dłuższe niż kiedyś, to prawdopodobnie dziąsła się cofnęły, odsłaniając ich korzenie.
- Uczucie ruchomości zębów: To bardzo poważny objaw, często świadczący o zaawansowanej paradontozie i znacznej utracie kości. Wymaga pilnej interwencji.
- Nieświeży oddech (halitoza): Przewlekły, nieprzyjemny zapach z ust, który nie ustępuje po umyciu zębów, może być spowodowany nagromadzeniem bakterii w kieszonkach dziąsłowych.

Profesjonalna regeneracja dziąseł: nowoczesne metody leczenia
Gdy domowe metody i podstawowa higiena nie wystarczają, a recesja dziąseł jest już zaawansowana, nowoczesna stomatologia oferuje szereg skutecznych zabiegów, które mogą zatrzymać postęp choroby, a nawet odbudować utracone tkanki. Jako specjalista, zawsze dążę do tego, aby moi pacjenci odzyskali pełen komfort i estetykę uśmiechu.
Podstawa leczenia: skaling i kiretaż, czyli głębokie porządki pod linią dziąseł
Zanim przejdziemy do bardziej zaawansowanych zabiegów, musimy usunąć przyczynę problemu. Skaling to profesjonalne usuwanie kamienia nazębnego zarówno naddziąsłowego, jak i poddziąsłowego. W przypadku zaawansowanych stanów zapalnych i głębokich kieszonek dziąsłowych, wykonujemy kiretaż (nazywany też skalingiem poddziąsłowym). Polega on na dokładnym oczyszczeniu korzeni zębów z kamienia, płytki bakteryjnej i zainfekowanych tkanek znajdujących się wewnątrz kieszonek. Te zabiegi są absolutną podstawą w leczeniu chorób przyzębia i zatrzymywaniu recesji, ponieważ eliminują środowisko sprzyjające rozwojowi bakterii i stanów zapalnych, co pozwala dziąsłom na ponowne przyleganie do powierzchni korzenia i spłycenie kieszonek.
Przeszczep dziąsła: złoty standard w odbudowie utraconej tkanki
Kiedy recesja jest już znaczna, a odsłonięte korzenie powodują nadwrażliwość i problemy estetyczne, najczęściej rekomenduję zabieg przeszczepu dziąsła. Jest to obecnie najpopularniejsza i najbardziej skuteczna metoda odbudowy utraconej tkanki dziąsłowej. Zabieg polega na pobraniu niewielkiego fragmentu tkanki miękkiej (najczęściej z podniebienia pacjenta) i przeszczepieniu jej w miejsce, gdzie dziąsło się cofnęło. Celem jest nie tylko pokrycie odsłoniętej powierzchni korzenia, ale także wzmocnienie dziąsła w tym obszarze, co zapobiega dalszej recesji i poprawia estetykę uśmiechu. Efekty są często spektakularne i trwale zmieniają komfort życia pacjenta.
Sterowana regeneracja tkanek (GTR): jak "zachęcić" kość i dziąsło do odbudowy?
W przypadkach, gdy oprócz utraty dziąsła doszło również do znacznego ubytku kości wokół zęba, stosuję metodę sterowanej regeneracji tkanek (Guided Tissue Regeneration GTR). Ten zaawansowany zabieg ma na celu nie tylko odbudowę dziąsła, ale przede wszystkim stymulację odbudowy utraconej kości i więzadeł ozębnej. Podczas zabiegu, po dokładnym oczyszczeniu obszaru, umieszczam specjalną membranę między dziąsłem a kością. Membrana ta tworzy przestrzeń, która chroni nowo tworzącą się kość i tkanki przed wrastaniem szybciej rosnących komórek dziąsła, dając czas na regenerację struktur przyzębia. To naprawdę fascynujące, jak możemy "zachęcić" organizm do odbudowy.
Nowoczesne terapie wspomagające: rola lasera, kwasu hialuronowego i biomateriałów
Oprócz klasycznych metod, w mojej praktyce często wykorzystuję nowoczesne terapie wspomagające, które znacząco poprawiają efekty leczenia i komfort pacjenta:
- Laseroterapia: Lasery stomatologiczne są niezwykle skuteczne w redukcji bakterii w kieszonkach dziąsłowych oraz w łagodzeniu stanów zapalnych. Ich zastosowanie przyspiesza gojenie tkanek i zmniejsza dolegliwości bólowe po zabiegach.
- Biostymulacja z użyciem atelokolagenu i kwasu hialuronowego: To innowacyjne metody, które polegają na wstrzykiwaniu w dziąsła preparatów stymulujących ich regenerację i zagęszczenie. Atelokolagen i kwas hialuronowy wspomagają nawilżenie, elastyczność i ogólną kondycję dziąseł, co może być pomocne w profilaktyce i leczeniu początkowych stadiów recesji.
- Zastosowanie biomateriałów: W niektórych przypadkach, zwłaszcza przy ubytkach kości, stosujemy specjalne biomateriały (np. syntetyczne substytuty kości), które mają za zadanie stworzyć rusztowanie dla nowo tworzącej się tkanki kostnej.

Domowe sposoby na zdrowe dziąsła: fakty i mity
Wielu moich pacjentów szuka sposobów na poprawę kondycji dziąseł w domowym zaciszu. Muszę jasno podkreślić: domowe sposoby nie odbudują utraconych dziąseł, ale są nieocenionym elementem profilaktyki i wsparcia profesjonalnego leczenia. Mogą łagodzić stany zapalne, poprawiać higienę i zapobiegać dalszym problemom.
Moc ziół i płukanek: naturalne wsparcie w łagodzeniu stanów zapalnych
Naturalne ekstrakty roślinne od wieków są wykorzystywane w medycynie ludowej do łagodzenia stanów zapalnych, a ich działanie potwierdzają współczesne badania. Płukanki z ziół, takich jak szałwia, rumianek czy kora dębu, mogą przynieść ulgę w przypadku podrażnionych i lekko krwawiących dziąseł. Szałwia i kora dębu mają właściwości ściągające i antyseptyczne, rumianek działa łagodząco. Ważne jest, aby stosować je regularnie, ale pamiętać, że są to metody wspomagające, a nie zastępujące profesjonalne leczenie. W przypadku silniejszych stanów zapalnych, pod kontrolą lekarza, można stosować specjalistyczne płukanki z chlorheksydyną, która ma silne działanie antybakteryjne, choć jej długotrwałe użycie może prowadzić do przebarwień.
Wybór szczoteczki i pasty: małe decyzje o wielkim znaczeniu
Wydawać by się mogło, że wybór szczoteczki i pasty to drobnostka, ale w rzeczywistości ma on ogromne znaczenie dla zdrowia dziąseł. Zawsze rekomenduję moim pacjentom miękką lub bardzo miękką szczoteczkę. Twarde włosie, w połączeniu z agresywną techniką, jest jednym z głównych winowajców recesji dziąseł. Jeśli chodzi o pastę, wybierz tę, która odpowiada Twoim potrzebom: specjalistyczne pasty na nadwrażliwość zębów mogą przynieść ulgę przy odsłoniętych szyjkach, a pasty z fluorem wzmacniają szkliwo i chronią przed próchnicą. Na rynku dostępne są również pasty dedykowane problemom dziąseł, często zawierające składniki takie jak chlorheksydyna (w niższych stężeniach) czy ekstrakty ziołowe.Przeczytaj również: Zapalenie dziąseł: od czego krwawią? Wszystkie przyczyny.
Masaż dziąseł i irygacja: czy warto włączyć je do codziennej rutyny?
Zdecydowanie tak! Masaż dziąseł, wykonywany delikatnie palcem lub specjalną gumową końcówką szczoteczki, może poprawić krążenie krwi w tkankach, co sprzyja ich lepszemu odżywieniu i wzmocnieniu. To prosta czynność, która może przynieść wiele korzyści. Z kolei irygacja, czyli płukanie jamy ustnej strumieniem wody pod ciśnieniem za pomocą irygatora, jest doskonałym uzupełnieniem szczotkowania i nitkowania. Irygator skutecznie usuwa resztki pokarmowe i luźną płytkę bakteryjną z przestrzeni międzyzębowych, spod linii dziąseł oraz z kieszonek dziąsłowych, do których trudno dotrzeć tradycyjnymi metodami. Poprawia to ogólną higienę i redukuje ryzyko stanów zapalnych. Pamiętaj jednak, aby używać irygatora z umiarem i na odpowiednim ciśnieniu, aby nie podrażnić dziąseł.
