Skuteczne leczenie zapalenia dziąseł od domowych płukanek po wizytę u stomatologa
- Główną przyczyną zapalenia dziąseł jest niewłaściwa higiena jamy ustnej prowadząca do gromadzenia się płytki bakteryjnej.
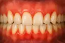
- Charakterystyczne objawy to zaczerwienienie, obrzęk, krwawienie podczas szczotkowania oraz ból i nieświeży oddech.
- Domowe metody, takie jak płukanki ziołowe czy roztwory soli, są skuteczne w łagodzeniu objawów, ale nie eliminują przyczyny problemu.
- Kluczowe dla wyleczenia jest profesjonalne usunięcie kamienia nazębnego (skaling i piaskowanie) w gabinecie stomatologicznym.
- Podstawą długotrwałej profilaktyki jest regularne i prawidłowe szczotkowanie, używanie nici dentystycznej oraz kontrolne wizyty u dentysty.

Dlaczego dziąsła krwawią? Zrozumienie problemu
Zapewne zastanawiasz się, dlaczego Twoje dziąsła są tkliwe, krwawią podczas mycia zębów, a czasem nawet bolą. Z mojego doświadczenia wynika, że najczęstszą przyczyną zapalenia dziąseł jest po prostu niewłaściwa higiena jamy ustnej. Kiedy nie szczotkujemy zębów wystarczająco dokładnie lub pomijamy nitkowanie, na powierzchni zębów i wzdłuż linii dziąseł gromadzi się płytka bakteryjna. To właśnie te bakterie są głównym winowajcą, wywołującym stan zapalny.
Jednak płytka bakteryjna to nie jedyny czynnik ryzyka. Istnieje wiele innych aspektów, które mogą przyczynić się do rozwoju zapalenia dziąseł lub pogorszyć jego przebieg. Warto zwrócić uwagę na takie kwestie jak palenie papierosów, które znacząco osłabia odporność dziąseł, czy choroby ogólnoustrojowe, na przykład cukrzyca, która wpływa na zdolność organizmu do zwalczania infekcji. Zmiany hormonalne, często obserwowane u kobiet w ciąży, również mogą sprawić, że dziąsła stają się bardziej wrażliwe i podatne na stany zapalne. Nie można zapominać o stresie, który osłabia układ odpornościowy, a także o niektórych lekach, które mogą powodować suchość w ustach, sprzyjając rozwojowi bakterii. Nawet niedobory witamin, zwłaszcza witaminy C, mogą mieć wpływ na kondycję naszych dziąseł.Rozpoznaj wroga: Czym dokładnie jest zapalenie dziąseł?
Zapalenie dziąseł, znane również jako gingivitis, to stan zapalny tkanek otaczających zęby. Najczęściej jest to początkowy etap choroby przyzębia, wywołany przez nagromadzenie płytki bakteryjnej na zębach i pod dziąsłami.
Sprawdź, czy to dotyczy Ciebie: Najczęstsze objawy zapalenia dziąseł
Rozpoznanie zapalenia dziąseł na wczesnym etapie jest kluczowe dla skutecznego leczenia. Oto objawy, na które powinieneś zwrócić szczególną uwagę:
- Zaczerwienienie dziąseł: Zdrowe dziąsła mają bladoróżowy kolor, natomiast te objęte stanem zapalnym stają się wyraźnie czerwone lub ciemnoczerwone.
- Obrzęk dziąseł: Dziąsła stają się spuchnięte i mogą wydawać się bardziej wypukłe niż zwykle, często zakrywając większą część zęba.
- Krwawienie podczas szczotkowania lub nitkowania: To jeden z najbardziej charakterystycznych i alarmujących objawów. Nawet delikatne szczotkowanie może wywołać krwawienie.
- Tkliwość i ból: Dziąsła mogą być wrażliwe na dotyk, a w niektórych przypadkach odczuwalny jest stały, tępy ból.
- Nieświeży oddech (halitoza): Nagromadzenie bakterii w jamie ustnej, będące przyczyną zapalenia, często prowadzi do nieprzyjemnego zapachu z ust.

Szybka ulga w domu: Jak złagodzić ból i stan zapalny?
Kiedy dziąsła bolą i krwawią, naturalne jest poszukiwanie szybkiej ulgi. Istnieje wiele domowych metod, które mogą skutecznie złagodzić objawy zapalenia dziąseł i przynieść chwilową ulgę. Pamiętaj jednak, że te sposoby są jedynie wsparciem w walce z problemem i nie zastąpią profesjonalnego leczenia u stomatologa. Mogą jednak znacząco poprawić Twój komfort, zanim udasz się do gabinetu.
Ziołowa apteczka: Płukanki z szałwii, rumianku i kory dębu, które naprawdę działają
Natura oferuje nam wiele składników o właściwościach przeciwzapalnych i ściągających, które doskonale sprawdzają się w łagodzeniu podrażnionych dziąseł. Oto kilka sprawdzonych przepisów na ziołowe płukanki:
-
Szałwia: Znana ze swoich właściwości antyseptycznych i ściągających.
- Przygotowanie: Zaparz łyżkę suszonych liści szałwii w szklance wrzątku. Pozostaw pod przykryciem na około 15 minut, a następnie odcedź i ostudź.
- Stosowanie: Płucz jamę ustną 2-3 razy dziennie po umyciu zębów.
-
Rumianek: Działa łagodząco, przeciwzapalnie i przyspiesza gojenie.
- Przygotowanie: Łyżkę suszonych kwiatów rumianku zalej szklanką wrzątku. Parz przez 10 minut, odcedź i ostudź.
- Stosowanie: Stosuj jako płukankę kilka razy dziennie, szczególnie po posiłkach.
-
Kora dębu: Ma silne właściwości ściągające i przeciwzapalne, pomaga zmniejszyć krwawienie.
- Przygotowanie: Łyżkę kory dębu gotuj w szklance wody przez około 5-10 minut. Odcedź i poczekaj, aż ostygnie.
- Stosowanie: Płucz jamę ustną 2 razy dziennie, szczególnie jeśli problemem jest krwawienie dziąseł.
Sól i woda utleniona: Bezpieczne proporcje i sposób użycia
Płukanka z wody z solą to klasyk, który zawsze mam w zanadrzu. Sól ma właściwości antyseptyczne i pomaga zmniejszyć obrzęk. Aby przygotować taką płukankę, wystarczy rozpuścić pół łyżeczki soli w szklance ciepłej wody. Płucz jamę ustną przez około 30 sekund, 2-3 razy dziennie. To prosta, ale skuteczna metoda na złagodzenie stanu zapalnego.
Woda utleniona, dzięki swoim właściwościom antyseptycznym, również może być pomocna, ale wymaga ostrożności. Należy ją zawsze odpowiednio rozcieńczyć, aby nie podrażnić delikatnych tkanek. Zazwyczaj zaleca się zmieszanie jednej części 3% wody utlenionej z jedną częścią wody. Takim roztworem można płukać jamę ustną przez około minutę, raz dziennie, nie częściej niż przez kilka dni. Pamiętaj, aby nie połykać roztworu.
Dieta dla zdrowych dziąseł: Co jeść, a czego unikać, by wspomóc leczenie?
To, co jemy, ma ogromny wpływ na zdrowie całego organizmu, w tym również dziąseł. W mojej praktyce często podkreślam znaczenie diety bogatej w witaminę C, która jest niezbędna do produkcji kolagenu i utrzymania zdrowych tkanek dziąseł. Włącz do swojej diety cytrusy, paprykę, kiwi czy brokuły. Równie ważne jest unikanie cukrów i produktów wysoko przetworzonych, które sprzyjają namnażaniu się bakterii i gromadzeniu płytki nazębnej. Ograniczając słodycze i napoje gazowane, znacząco odciążysz swoje dziąsła i wspomóż ich regenerację.

Kiedy domowe sposoby nie wystarczą: Profesjonalne leczenie u dentysty
Zawsze powtarzam moim pacjentom, że domowe metody, choć skuteczne w łagodzeniu objawów, są jedynie wsparciem. Prawdziwe wyleczenie zapalenia dziąseł i zapobieganie jego poważniejszym konsekwencjom wymaga interwencji specjalisty. Wizyta u stomatologa lub higienistki stomatologicznej jest absolutnie kluczowa. To oni są w stanie usunąć główną przyczynę problemu i wdrożyć odpowiednie leczenie, które przywróci Twoim dziąsłom zdrowie.
Skaling i piaskowanie: Klucz do usunięcia przyczyny problemu
Podstawą profesjonalnego leczenia zapalenia dziąseł jest usunięcie złogów bakteryjnych, czyli płytki nazębnej i kamienia. W tym celu wykonuje się dwa kluczowe zabiegi: skaling i piaskowanie. Skaling to nic innego jak profesjonalne usunięcie kamienia nazębnego, który tworzy się z zmineralizowanej płytki bakteryjnej. Kamień jest twardy i nie można go usunąć zwykłą szczoteczką. Stomatolog lub higienistka używa specjalistycznych narzędzi (ultradźwiękowych lub ręcznych), aby skutecznie usunąć te twarde złogi zarówno z powierzchni zębów, jak i spod linii dziąseł. Następnie wykonuje się piaskowanie, które polega na usunięciu osadów i przebarwień za pomocą strumienia wody, powietrza i drobnego proszku. Piaskowanie doskonale poleruje powierzchnię zębów, utrudniając ponowne przyleganie płytki bakteryjnej. Te dwa zabiegi są absolutnie fundamentalne, ponieważ eliminują główną przyczynę stanu zapalnego, pozwalając dziąsłom na regenerację.
Co po wizycie? Zalecenia i specjalistyczne preparaty, które może przepisać lekarz
Po profesjonalnym czyszczeniu zębów i dziąseł, stomatolog udzieli Ci szczegółowych zaleceń dotyczących dalszej higieny jamy ustnej. Może to obejmować instrukcje dotyczące prawidłowego szczotkowania, nitkowania oraz stosowania specjalistycznych past do zębów. W bardziej zaawansowanych przypadkach zapalenia dziąseł, lekarz może przepisać specjalistyczne płyny do płukania ust, często zawierające chlorheksydynę, która ma silne działanie antyseptyczne i pomaga w walce z bakteriami. Czasami, gdy stan zapalny jest bardzo nasilony, konieczne może być krótkotrwałe stosowanie leków przeciwzapalnych. Pamiętaj, że czas leczenia i powrotu do pełnego zdrowia zależy od początkowego zaawansowania stanu zapalnego. We wczesnym stadium, przy odpowiedniej higienie i profesjonalnym wsparciu, poprawa może nastąpić już w ciągu kilkunastu dni.
Wsparcie z apteki: Preparaty bez recepty na zapalenie dziąseł
Oprócz domowych płukanek i profesjonalnych zabiegów, apteki oferują szeroki wachlarz preparatów bez recepty, które mogą skutecznie wspomóc leczenie zapalenia dziąseł. Wybierając odpowiednie produkty, możesz znacząco przyspieszyć proces gojenia i złagodzić dolegliwości. Zawsze jednak warto skonsultować ich stosowanie ze stomatologiem lub farmaceutą, aby upewnić się, że są odpowiednie dla Twojego przypadku.
Przegląd żeli stomatologicznych: Składniki aktywne i ich działanie
Żele stomatologiczne to bardzo popularna forma wsparcia w leczeniu zapalenia dziąseł. Dzięki swojej konsystencji łatwo aplikują się bezpośrednio na zmienione chorobowo miejsca, zapewniając skoncentrowane działanie. Oto najczęściej spotykane składniki aktywne i ich rola:
- Chlorheksydyna: Jest to jeden z najskuteczniejszych środków antyseptycznych. Działa bakteriobójczo i bakteriostatycznie, redukując ilość bakterii w jamie ustnej, które są przyczyną zapalenia. Żele z chlorheksydyną są często zalecane po zabiegach stomatologicznych.
- Salicylan choliny: Składnik o silnym działaniu przeciwzapalnym i przeciwbólowym. Pomaga zmniejszyć obrzęk i uśmierza ból dziąseł, przynosząc szybką ulgę.
- Ekstrakty ziołowe (np. z rumianku, szałwii, aloesu): Wiele żeli zawiera naturalne wyciągi roślinne, które wspierają proces gojenia, działają łagodząco, przeciwzapalnie i regenerująco na tkanki dziąseł.
- Kwas hialuronowy: Wspomaga regenerację tkanek, nawilża i przyspiesza gojenie uszkodzonych dziąseł.
Pasty i płyny do zadań specjalnych: Na co zwrócić uwagę przy zakupie?
Wybierając pastę do zębów i płyn do płukania ust, gdy zmagasz się z zapaleniem dziąseł, zwróć uwagę na produkty dedykowane problemom dziąseł. Szukaj past zawierających składniki takie jak fluor (wzmacnia szkliwo), chlorheksydyna (w mniejszych stężeniach do codziennego użytku), ekstrakty ziołowe (np. z mięty, eukaliptusa, mirry) czy alantoina (regeneruje). Płyny do płukania ust powinny być bezalkoholowe, aby nie podrażniać dodatkowo dziąseł, i zawierać składniki antybakteryjne lub przeciwzapalne. Czytaj etykiety i wybieraj produkty, które nie tylko odświeżają oddech, ale przede wszystkim aktywnie wspierają zdrowie dziąseł.
Zapobieganie nawrotom: Jak skutecznie chronić dziąsła?
Wyleczenie zapalenia dziąseł to jedno, ale utrzymanie ich w zdrowiu na dłuższą metę to drugie. Z mojego doświadczenia wynika, że kluczem do sukcesu jest konsekwentna i przemyślana profilaktyka. To właśnie codzienne nawyki i regularne kontrole decydują o tym, czy problem będzie nawracał, czy też będziesz cieszyć się zdrowym uśmiechem przez długie lata.
Technika ma znaczenie: Jak prawidłowo szczotkować zęby, by nie podrażniać dziąseł?
Prawidłowe szczotkowanie zębów to podstawa. Należy myć zęby minimum dwa razy dziennie, a najlepiej po każdym posiłku, przez co najmniej dwie minuty. Używaj szczoteczki o miękkim lub średnio twardym włosiu, aby nie podrażniać dziąseł. Kluczowa jest technika: trzymaj szczoteczkę pod kątem 45 stopni do linii dziąseł i wykonuj delikatne, wymiatające ruchy od dziąsła w kierunku korony zęba. Nie szoruj zębów zbyt mocno to może uszkodzić dziąsła i szkliwo. Pamiętaj również o czyszczeniu języka, na którym gromadzą się bakterie.Nić dentystyczna, irygator, szczoteczki międzyzębowe: Wybierz narzędzie idealne dla siebie
Sama szczoteczka nie wystarczy, aby usunąć płytkę bakteryjną z przestrzeni międzyzębowych. To właśnie tam najczęściej zaczynają się problemy z dziąsłami. Na szczęście mamy do dyspozycji kilka skutecznych narzędzi:
- Nić dentystyczna: Niezastąpiona do usuwania resztek jedzenia i płytki z ciasnych przestrzeni międzyzębowych. Używaj jej raz dziennie, najlepiej wieczorem.
- Irygator: Urządzenie, które za pomocą strumienia wody pod ciśnieniem wypłukuje resztki pokarmowe i bakterie z przestrzeni międzyzębowych oraz spod linii dziąseł. Jest szczególnie polecany osobom z aparatami ortodontycznymi, mostami czy implantami.
- Szczoteczki międzyzębowe: Dostępne w różnych rozmiarach, idealnie dopasowują się do szerszych przestrzeni międzyzębowych. Skutecznie usuwają płytkę i masują dziąsła.
Wypróbuj różne opcje i wybierz te, które najlepiej pasują do Twoich potrzeb i anatomii jamy ustnej. Regularne czyszczenie przestrzeni międzyzębowych to inwestycja w zdrowie Twoich dziąseł.
Złote zasady profilaktyki: Jak uniknąć nawrotu zapalenia w przyszłości?
Aby zapobiec nawrotom zapalenia dziąseł, warto wdrożyć kilka kluczowych zasad, które staną się Twoją codzienną rutyną:
- Regularne i prawidłowe szczotkowanie: Jak już wspomniałem, to podstawa. Minimum dwa razy dziennie, z odpowiednią techniką.
- Codzienne czyszczenie przestrzeni międzyzębowych: Nić dentystyczna, irygator lub szczoteczki międzyzębowe wybierz swoje narzędzie i używaj go każdego dnia.
- Zdrowa dieta: Ogranicz cukry, postaw na warzywa, owoce i produkty bogate w witaminę C.
- Unikanie używek: Rzuć palenie i ogranicz alkohol, które negatywnie wpływają na zdrowie dziąseł.
- Regularne wizyty kontrolne u stomatologa: To absolutny priorytet! Co najmniej raz w roku, a najlepiej co 6 miesięcy, udawaj się na kontrolę połączoną z profesjonalną higienizacją (skaling i piaskowanie). Tylko dentysta jest w stanie wcześnie wykryć i zapobiec poważniejszym problemom.
Unikaj tych błędów: Najczęstsze pomyłki w leczeniu dziąseł
W swojej praktyce często obserwuję, jak pacjenci, mimo dobrych chęci, popełniają błędy, które utrudniają skuteczne wyleczenie zapalenia dziąseł lub prowadzą do jego nawrotów. Chcę Cię przed nimi przestrzec, abyś mógł świadomie dbać o swoje zdrowie jamy ustnej.
Ignorowanie pierwszych objawów: Dlaczego nie warto czekać?
To jeden z najpoważniejszych błędów. Wiele osób bagatelizuje pierwsze sygnały, takie jak lekkie krwawienie podczas szczotkowania czy delikatny obrzęk. Myślą, że "samo przejdzie" lub że to nic poważnego. Niestety, ignorowanie początkowych objawów zapalenia dziąseł to prosta droga do poważniejszych konsekwencji. Nieleczone zapalenie dziąseł może przekształcić się w paradontozę, czyli chorobę przyzębia, która prowadzi do zaniku kości wokół zębów, ich rozchwiania, a w ostateczności nawet do utraty. Im wcześniej zareagujesz, tym łatwiej i szybciej będzie można wyleczyć problem.
Zbyt agresywne szczotkowanie: Jak dbać o higienę, nie szkodząc sobie?
Paradoksalnie, w dążeniu do perfekcyjnej higieny, niektórzy pacjenci szczotkują zęby zbyt agresywnie, używając twardych szczoteczek i silnego nacisku. Wierzą, że w ten sposób usuną więcej płytki. Niestety, efekt jest odwrotny. Zbyt mocne szczotkowanie może uszkodzić delikatne dziąsła, prowadząc do ich podrażnień, recesji (cofania się dziąseł) i odsłonięcia szyjek zębowych, co z kolei zwiększa wrażliwość na ból i sprzyja rozwojowi próchnicy. Pamiętaj, że liczy się technika i regularność, a nie siła. Delikatne, wymiatające ruchy są znacznie bardziej efektywne i bezpieczne.
Przeczytaj również: Ból ósemki: Szybka ulga i kiedy do dentysty? Poradnik eksperta
Poleganie wyłącznie na domowych metodach: Granica między wspomaganiem a leczeniem
Domowe metody, takie jak płukanki ziołowe czy z solą, są cennym wsparciem w łagodzeniu objawów zapalenia dziąseł. Mogą przynieść ulgę w bólu i zmniejszyć stan zapalny. Jednak kluczowe jest zrozumienie, że nie eliminują one głównej przyczyny problemu, czyli nagromadzonego kamienia nazębnego i płytki bakteryjnej. Poleganie wyłącznie na domowych sposobach, bez konsultacji ze stomatologiem i profesjonalnego usunięcia złogów, jest poważnym błędem. To tak, jakbyś próbował gasić pożar w domu szklanką wody możesz stłumić płomienie na chwilę, ale źródło ognia pozostanie. Tylko profesjonalne czyszczenie u dentysty jest w stanie usunąć przyczynę zapalenia i zapewnić trwałe wyleczenie.
