Zapalenie dziąseł to powszechny problem, który dotyka wielu z nas. Często pojawia się pytanie: jak długo trwa zapalenie dziąseł i kiedy mogę spodziewać się ulgi? W tym artykule, jako Igor Gajewski, ekspert w dziedzinie zdrowia jamy ustnej, postaram się dostarczyć rzetelnych informacji medycznych, wyjaśniając czynniki wpływające na długość leczenia oraz wskazując, kiedy konieczna jest wizyta u stomatologa.
Jak długo trwa zapalenie dziąseł? Kluczowe informacje o czasie leczenia i czynnikach wpływających na jego długość.
- Ostre, niepowikłane zapalenie dziąseł może ustąpić w ciągu 7-14 dni przy wdrożeniu prawidłowej higieny.
- W przypadku zaawansowanego stanu lub obecności czynników ryzyka (np. palenie, cukrzyca), leczenie może trwać kilka tygodni i zazwyczaj wymaga interwencji dentysty.
- Przewlekłe zapalenie dziąseł, spowodowane nieusuwaną płytką i kamieniem, może utrzymywać się miesiącami lub latami.
- Główną przyczyną zapalenia dziąseł jest nagromadzenie płytki nazębnej.
- Niepokojące objawy, takie jak silny ból, ropa, obfite krwawienie czy ruchomość zębów, wymagają natychmiastowej wizyty u stomatologa.
- Nieleczone zapalenie dziąseł może prowadzić do paradontozy i utraty zębów.

Co wpływa na długość leczenia zapalenia dziąseł?
Czas trwania zapalenia dziąseł nie jest stały i może znacząco się różnić w zależności od wielu czynników. Z mojego doświadczenia wynika, że kluczowe jest zrozumienie, co dokładnie wpływa na przebieg choroby, aby móc skutecznie przyspieszyć powrót do zdrowia. Przyjrzyjmy się bliżej tym elementom.
Główny winowajca: Płytka nazębna i jej rola w rozwoju stanu zapalnego
Zapalenie dziąseł jest najczęściej powodowane przez nagromadzenie płytki nazębnej, czyli miękkiego, bakteryjnego osadu, który tworzy się na zębach. Jeśli płytka nie jest regularnie usuwana, bakterie w niej zawarte wytwarzają toksyny, które podrażniają dziąsła, prowadząc do stanu zapalnego. Jest to absolutnie najczęstsza przyczyna choroby i jednocześnie kluczowy czynnik decydujący o długości leczenia. Bez skutecznego usunięcia płytki, walka z zapaleniem będzie syzyfową pracą.
Czynniki ryzyka, które mogą wydłużyć leczenie: od palenia po zmiany hormonalne
Poza płytką nazębną, istnieje szereg czynników, które mogą utrudniać leczenie i wydłużać czas rekonwalescencji. W mojej praktyce często spotykam się z pacjentami, u których te czynniki odgrywają znaczącą rolę:
- Palenie papierosów: Palacze są znacznie bardziej narażeni na zapalenie dziąseł i paradontozę. Nikotyna zwęża naczynia krwionośne, upośledzając dopływ krwi do dziąseł, co spowalnia proces gojenia i maskuje objawy krwawienia.
- Cukrzyca: Niekontrolowana cukrzyca osłabia układ odpornościowy i utrudnia organizmowi walkę z infekcjami, w tym z zapaleniem dziąseł. Proces gojenia jest u diabetyków często wydłużony.
- Zmiany hormonalne: Okresy takie jak ciąża, menopauza czy nawet cykl menstruacyjny mogą wpływać na wrażliwość dziąseł na płytkę nazębną, czyniąc je bardziej podatnymi na stany zapalne.
- Niektóre leki: Pewne medykamenty, np. leki na nadciśnienie, immunosupresyjne czy przeciwpadaczkowe, mogą powodować powiększenie dziąseł, co utrudnia ich czyszczenie i sprzyja rozwojowi zapalenia.
Ostre vs. przewlekłe zapalenie dziąseł: dlaczego rozróżnienie jest kluczowe?
Zapalenie dziąseł możemy podzielić na dwie główne formy: ostre i przewlekłe. Zrozumienie tej różnicy jest kluczowe zarówno dla pacjenta, jak i dla planowania leczenia. Ostre, niepowikłane zapalenie dziąseł, jeśli zostanie wcześnie wykryte i podjęte zostaną odpowiednie działania higieniczne, może ustąpić w ciągu 7 do 14 dni. Charakteryzuje się nagłym pojawieniem się objawów. Natomiast przewlekłe zapalenie dziąseł to stan, który rozwija się powoli i może utrzymywać się miesiącami, a nawet latami. Dzieje się tak, gdy przyczyna, czyli płytka nazębna i kamień, nie jest regularnie usuwana. W tym przypadku objawy mogą być mniej intensywne, ale choroba postępuje, często prowadząc do poważniejszych konsekwencji, takich jak paradontoza.
Typowy przebieg i fazy zapalenia dziąseł
Zapalenie dziąseł, choć wydaje się prostym problemem, ma swój typowy przebieg. Zrozumienie, co dzieje się w jamie ustnej na poszczególnych etapach, pomoże Ci lepiej monitorować swój stan i wiedzieć, kiedy należy oczekiwać poprawy, a kiedy szukać pomocy. Przyjrzyjmy się temu bliżej.
Faza ostra (pierwsze 7-14 dni): Co się dzieje i kiedy możesz spodziewać się poprawy?
W początkowej fazie ostrego zapalenia dziąseł, gdy wdrożymy prawidłową higienę, możemy zaobserwować szereg charakterystycznych objawów. Dziąsła stają się zaczerwienione i obrzęknięte, często pojawia się krwawienie podczas szczotkowania lub nitkowania, a także ogólna wrażliwość lub lekki ból. Niekiedy towarzyszy temu nieświeży oddech. Jeśli w tym okresie (czyli w ciągu pierwszych 7-14 dni) zaczniemy rygorystycznie dbać o higienę jamy ustnej, usuwając płytkę nazębną, możemy spodziewać się znaczącej poprawy. Objawy powinny stopniowo ustępować, a dziąsła wracać do zdrowego, różowego koloru.Kiedy leczenie trwa dłużej niż 2 tygodnie? Sygnały, że potrzebujesz wsparcia dentysty
Jeśli mimo Twoich starań i sumiennej higieny objawy zapalenia dziąseł nie ustępują po 10-14 dniach, to jest to wyraźny sygnał, że potrzebujesz profesjonalnej pomocy. Z mojego doświadczenia wynika, że w takich sytuacjach problem jest głębszy i wymaga interwencji stomatologa. Zwróć uwagę na następujące sygnały:
- Objawy zapalenia (zaczerwienienie, obrzęk, krwawienie) nie ustępują lub nasilają się po dwóch tygodniach intensywnej higieny.
- Krwawienie z dziąseł jest bardzo obfite, pojawia się spontanicznie lub przy minimalnym dotyku.
- Odczuwasz silny, uporczywy ból dziąseł, który utrudnia jedzenie czy mówienie.
- Zauważasz ropną wydzielinę z dziąseł.
- Pojawia się ruchomość zębów to bardzo poważny sygnał, który może świadczyć o zaawansowanej paradontozie.
Czy zapalenie dziąsła może przejść samo? Prawda o "samoleczeniu"
Wiele osób zastanawia się, czy zapalenie dziąseł może przejść samoistnie. Moja odpowiedź jest zawsze taka sama: tylko w bardzo łagodnych przypadkach i pod warunkiem rygorystycznej, bezbłędnej higieny. Jeśli przyczyną jest tylko świeża płytka nazębna, którą jesteśmy w stanie skutecznie usunąć szczoteczką i nicią, objawy mogą ustąpić. Jednak bez usunięcia głównej przyczyny czyli nagromadzonej płytki i ewentualnie kamienia nazębnego problem będzie nawracał. Co więcej, nieleczone zapalenie dziąseł bardzo łatwo przechodzi w stan przewlekły, a następnie w paradontozę. Dlatego poleganie na "samoleczeniu" bez aktywnej interwencji i usunięcia źródła problemu to prosta droga do poważniejszych komplikacji.

Skuteczne sposoby na szybsze wyleczenie zapalenia dziąseł
Skuteczne leczenie zapalenia dziąseł opiera się na połączeniu domowych metod z profesjonalnymi zabiegami. Moim celem jest zawsze edukowanie pacjentów, aby mogli świadomie dbać o swoje zdrowie jamy ustnej i przyspieszyć proces gojenia. Oto przegląd sprawdzonych metod.
Fundament leczenia: Technika prawidłowego szczotkowania i nitkowania krok po kroku
Nie mogę wystarczająco podkreślić, jak ważna jest prawidłowa higiena jamy ustnej. To absolutny fundament leczenia i profilaktyki zapalenia dziąseł. Bez tego żadne inne metody nie przyniosą długotrwałych efektów. Oto, jak powinieneś to robić:
- Prawidłowe szczotkowanie: Używaj miękkiej szczoteczki do zębów. Szczotkuj zęby minimum dwa razy dziennie, przez co najmniej dwie minuty. Skup się na delikatnych, wymiatających ruchach, kierując włosie szczoteczki pod kątem 45 stopni do linii dziąseł. Pamiętaj, aby dotrzeć do wszystkich powierzchni zębów, delikatnie masując również dziąsła. Unikaj zbyt mocnego szorowania, które może podrażniać dziąsła.
- Codzienne nitkowanie/użycie irygatora: Szczoteczka nie dociera do przestrzeni międzyzębowych, gdzie gromadzi się najwięcej płytki. Dlatego codziennie, najlepiej wieczorem, używaj nici dentystycznej lub irygatora. Nić delikatnie wprowadź między zęby, owijając ją wokół każdego zęba i przesuwając w górę i w dół, aż pod linię dziąseł. Irygator, używany z odpowiednią końcówką, skutecznie wypłukuje resztki jedzenia i płytkę z tych trudno dostępnych miejsc.
Płukanki i żele z apteki: Które wybrać i jak długo je stosować?
Płukanki antyseptyczne mogą być cennym uzupełnieniem higieny, zwłaszcza w ostrej fazie zapalenia. Najczęściej polecam te zawierające chlorheksydynę. Pamiętaj jednak, że są one przeznaczone do krótkoterminowego stosowania, zazwyczaj przez 7-14 dni, i zawsze zgodnie z zaleceniami lekarza lub farmaceuty. Długotrwałe używanie chlorheksydyny może prowadzić do nieestetycznych przebarwień zębów i zaburzeń smaku. Na rynku dostępne są również specjalistyczne żele do stosowania miejscowego, które mogą przynieść ulgę i wspomóc gojenie.
Naturalne wsparcie: Rola szałwii, rumianku i innych ziół w łagodzeniu objawów
Wspomagająco w leczeniu zapalenia dziąseł można stosować płukanki ziołowe. Napary z szałwii, rumianku czy kory dębu wykazują działanie łagodzące, przeciwzapalne i ściągające. Mogą przynieść ulgę w bólu i zmniejszyć obrzęk. Pamiętaj jednak, że są to metody wspomagające, a nie zastępujące podstawową higienę jamy ustnej i ewentualną profesjonalną interwencję stomatologiczną. Nie usuną one kamienia nazębnego ani nie zlikwidują głównej przyczyny problemu.
Niezbędna wizyta w gabinecie: Na czym polega skaling i piaskowanie?
Jeśli zapalenie dziąseł jest bardziej zaawansowane, a zwłaszcza gdy na zębach pojawił się kamień nazębny, domowe metody nie wystarczą. Wtedy konieczna jest wizyta w gabinecie stomatologicznym na profesjonalne oczyszczanie zębów. Zabiegi takie jak skaling i piaskowanie są kluczowe w usunięciu głównej przyczyny zapalenia:
- Skaling: To zabieg polegający na usunięciu kamienia nazębnego (zarówno naddziąsłowego, jak i poddziąsłowego) za pomocą ultradźwięków. Kamień to twardy osad, którego nie da się usunąć szczoteczką, a który jest siedliskiem bakterii wywołujących zapalenie.
- Piaskowanie: Po skalingu często wykonuje się piaskowanie, które polega na usunięciu osadów i przebarwień z powierzchni zębów za pomocą strumienia wody, powietrza i drobnego proszku. Pozostawia zęby gładkie, co utrudnia ponowne przyleganie płytki bakteryjnej.
Te zabiegi są często niezbędne, aby przerwać błędne koło zapalenia i umożliwić dziąsłom powrót do zdrowia.
Kiedy zapalenie dziąseł sygnalizuje poważniejsze problemy?
Choć zapalenie dziąseł jest często łagodne i odwracalne, nie wolno go lekceważyć. Niekiedy objawy, które obserwujemy, mogą być sygnałem znacznie poważniejszych problemów, wymagających natychmiastowej interwencji. Moim obowiązkiem jest uświadomienie pacjentom, kiedy należy bić na alarm.
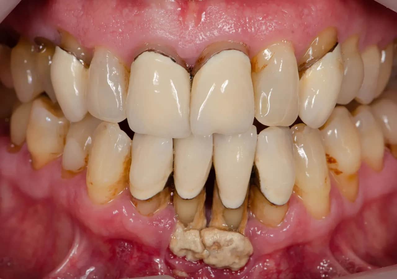
Objawy, których absolutnie nie wolno ignorować (ból, ropa, ruchomość zębów)
Istnieją pewne objawy, które powinny zapalić czerwoną lampkę i skłonić Cię do natychmiastowej wizyty u stomatologa. Są to sygnały, że zapalenie dziąseł mogło przejść w poważniejszą chorobę przyzębia lub że rozwija się inna, groźna infekcja:
- Silny, pulsujący ból dziąseł lub zębów, który nie ustępuje i utrudnia codzienne funkcjonowanie.
- Obecność ropnej wydzieliny z dziąseł lub wokół zębów to znak aktywnej infekcji bakteryjnej.
- Ruchomość jednego lub kilku zębów to jeden z najbardziej alarmujących objawów, wskazujący na zaawansowaną utratę kości wokół zębów, charakterystyczną dla paradontozy.
- Wyczuwalne ubytki kostne lub recesje dziąseł (dziąsła cofają się, odsłaniając korzenie zębów).
- Zmiana w zgryzie, wrażenie, że zęby "inaczej się układają".
Nieleczone zapalenie dziąseł: prosta droga do paradontozy
To, co muszę podkreślić z całą stanowczością, to fakt, że nieleczone zapalenie dziąseł to prosta droga do paradontozy, czyli zapalenia przyzębia. Paradontoza jest znacznie poważniejszą chorobą, która dotyka nie tylko dziąseł, ale także kości i więzadeł utrzymujących zęby w zębodołach. Bakterie z płytki nazębnej i kamienia, jeśli nie są usuwane, niszczą tkanki wokół zębów. Prowadzi to do powstawania kieszonek dziąsłowych, w których gromadzą się kolejne bakterie, pogłębiając proces destrukcji. W konsekwencji dochodzi do utraty kości, rozchwiania, a w ostateczności utraty zębów. Wczesna interwencja w przypadku zapalenia dziąseł jest więc kluczowa, aby zapobiec tej nieodwracalnej chorobie.
Przeczytaj również: Jak skutecznie leczyć zapalenie dziąseł? Poradnik eksperta
Jak zapobiegać nawrotom? Klucz do zdrowych dziąseł na lata
Zapobieganie nawrotom zapalenia dziąseł jest równie ważne, jak samo leczenie. To inwestycja w zdrowie Twojej jamy ustnej na lata. Oto kluczowe elementy profilaktyki, które zawsze rekomenduję moim pacjentom:
- Regularne wizyty kontrolne i higienizacyjne u dentysty: Odwiedzaj stomatologa co 6-12 miesięcy, nawet jeśli nic Cię nie boli. Podczas tych wizyt dentysta oceni stan Twoich dziąseł i zębów, a higienistka usunie płytkę i kamień nazębny (skaling, piaskowanie).
- Utrzymanie prawidłowej higieny jamy ustnej: To podstawa! Sumienne szczotkowanie zębów dwa razy dziennie i codzienne używanie nici dentystycznej lub irygatora to absolutne minimum.
- Unikanie czynników ryzyka: Jeśli palisz papierosy, rozważ rzucenie nałogu. To jedna z najlepszych rzeczy, jakie możesz zrobić dla zdrowia swoich dziąseł.
- Zdrowa, zbilansowana dieta: Ogranicz spożycie cukrów i przetworzonej żywności, które sprzyjają rozwojowi bakterii w jamie ustnej. Dieta bogata w witaminy i minerały wspiera ogólną odporność organizmu.
- Samokontrola: Regularnie oglądaj swoje dziąsła w lustrze. Zwracaj uwagę na wszelkie zaczerwienienia, obrzęki czy krwawienia i reaguj na nie szybko.
