Stan zapalny dziąseł to dolegliwość, która dotyka wielu z nas, często objawiając się subtelnym dyskomfortem, który łatwo zignorować. Niestety, bagatelizowanie tego problemu może prowadzić do poważniejszych konsekwencji dla zdrowia całej jamy ustnej. W tym artykule, jako Igor Gajewski, podzielę się z Państwem moją wiedzą i doświadczeniem, przedstawiając kompleksowe rozwiązania od sprawdzonych domowych metod, przez profesjonalne wsparcie, aż po skuteczną profilaktykę aby pomóc Państwu odzyskać komfort i zdrowy uśmiech.
Zapalenie dziąseł jak skutecznie leczyć i zapobiegać problemom z dziąsłami?
- Kluczem jest higiena: Niewłaściwa higiena jamy ustnej i płytka bakteryjna to główni winowajcy zapalenia dziąseł.
- Nie ignoruj objawów: Zaczerwienienie, obrzęk i krwawienie dziąseł to sygnały, których nie wolno lekceważyć, aby uniknąć poważniejszych problemów, takich jak cofanie się dziąseł.
- Domowe wsparcie: Płukanki ziołowe (szałwia, rumianek, kora dębu) oraz roztwory z soli czy wody utlenionej mogą przynieść ulgę w łagodnych stanach.
- Apteka i gabinet: Produkty z chlorheksydyną oraz profesjonalne zabiegi stomatologiczne, takie jak skaling i piaskowanie, są niezbędne w bardziej zaawansowanych przypadkach.
- Dieta i nawyki: Wzbogacenie diety w witaminy C i K oraz regularne i prawidłowe szczotkowanie, nitkowanie czy użycie irygatora to podstawa profilaktyki.
- Regularne wizyty: Kontrole u dentysty co 6-12 miesięcy są kluczowe dla utrzymania zdrowych dziąseł i zapobiegania nawrotom.

Zaczerwienione i krwawiące dziąsła: poznaj wroga i dowiedz się, jak go pokonać
Zapewne każdy z nas choć raz doświadczył dyskomfortu związanego z dziąsłami. To niezwykle powszechny problem, który jednak często bagatelizujemy, a to błąd. Zrozumienie przyczyn i objawów jest pierwszym krokiem do skutecznego leczenia i zapobiegania.
Dlaczego twoje dziąsła wołają o pomoc? Najczęstsze przyczyny stanu zapalnego
Główną przyczyną stanu zapalnego dziąseł, jak wielokrotnie obserwuję w mojej praktyce, jest niewłaściwa higiena jamy ustnej. Prowadzi ona do nagromadzenia się płytki bakteryjnej, która z czasem twardnieje, tworząc kamień nazębny idealne środowisko dla rozwoju bakterii. Ale to nie jedyny winowajca. Istnieje wiele innych czynników ryzyka, które mogą osłabić dziąsła i zwiększyć ich podatność na stany zapalne. Wśród nich wymieniłbym palenie papierosów, które znacząco pogarsza ukrwienie dziąseł, a także choroby ogólnoustrojowe, takie jak cukrzyca. Zmiany hormonalne, na przykład w okresie ciąży czy menopauzy, również mogą wpływać na kondycję dziąseł, czyniąc je bardziej wrażliwymi. Nie zapominajmy o stresie, który osłabia odporność organizmu, oraz o niedoborach witamin, zwłaszcza witaminy C i K, kluczowych dla zdrowia tkanek. Warto również zwrócić uwagę na niektóre leki, które mogą mieć wpływ na dziąsła jako efekt uboczny.Od subtelnego dyskomfortu po ból: jak rozpoznać pierwsze objawy zapalenia dziąseł?
Wczesne rozpoznanie objawów jest kluczowe, aby szybko podjąć działania i uniknąć pogorszenia się stanu. Na co powinniśmy zwrócić uwagę?
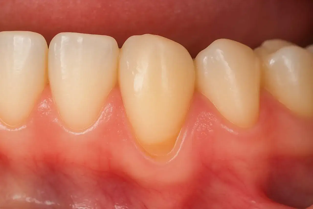
- Zaczerwienienie i obrzęk: Zdrowe dziąsła mają bladoróżowy kolor i są ściśle przylegające do zębów. Jeśli zauważysz, że są one ciemniejsze, bardziej czerwone i spuchnięte, to wyraźny sygnał alarmowy.
- Krwawienie podczas szczotkowania: To jeden z najbardziej klasycznych objawów. Nawet delikatne szczotkowanie lub nitkowanie może wywołać krwawienie. Wielu pacjentów ignoruje ten symptom, myśląc, że to normalne nic bardziej mylnego!
- Ból i wrażliwość na dotyk: Dziąsła mogą stać się bolesne przy jedzeniu, szczotkowaniu, a nawet przy lekkim dotyku.
- Nieświeży oddech (halitoza): Bakterie gromadzące się w płytce nazębnej i kamieniu nazębnym produkują lotne związki siarki, które są odpowiedzialne za nieprzyjemny zapach z ust.
- Cofanie się dziąseł: W bardziej zaawansowanych stadiach zapalenia, dziąsła mogą zacząć się cofać, odsłaniając szyjki zębowe, co prowadzi do nadwrażliwości i zwiększa ryzyko próchnicy korzeni.
Czy można to zignorować? Konsekwencje nieleczonego stanu zapalnego
Niestety, wielu pacjentów bagatelizuje początkowe objawy zapalenia dziąseł, traktując je jako coś przejściowego lub mało istotnego. To ogromny błąd! Ignorowanie problemu prowadzi do jego pogłębiania się. Nieleczony stan zapalny dziąseł może przekształcić się w paradontozę, czyli zapalenie przyzębia. W tej chorobie dochodzi do uszkodzenia tkanek otaczających ząb, w tym kości, co w konsekwencji może prowadzić do rozchwiania, a nawet utraty zębów. Cofanie się dziąseł, o którym wspomniałem wcześniej, to już zaawansowany etap, który nie tylko szpeci uśmiech, ale także zwiększa ryzyko próchnicy i nadwrażliwości. Dlatego tak ważne jest, aby reagować szybko i skutecznie.

Domowa apteczka w walce z zapaleniem dziąseł: sprawdzone i bezpieczne metody
Zanim sięgniemy po specjalistyczne środki z apteki, warto spróbować sprawdzonych domowych sposobów. Mogą one przynieść znaczną ulgę w łagodnych stanach zapalnych i stanowić doskonałe uzupełnienie codziennej higieny.
Ziołowa moc w twojej łazience: płukanki z szałwii, rumianku i kory dębu krok po kroku
Zioła to prawdziwi sprzymierzeńcy w walce z zapaleniem dziąseł. Ich właściwości antyseptyczne, przeciwzapalne i ściągające są nieocenione. Oto jak przygotować i stosować najpopularniejsze płukanki:
-
Płukanka z szałwii:
- Przygotowanie: Łyżkę suszonych liści szałwii zalej szklanką wrzącej wody.
- Parzenie: Przykryj i odstaw na około 15-20 minut.
- Odcedzenie: Po ostygnięciu odcedź napar.
- Stosowanie: Płucz jamę ustną 2-3 razy dziennie przez około 30-60 sekund, najlepiej po posiłkach i szczotkowaniu zębów. Szałwia działa ściągająco i antyseptycznie.
-
Płukanka z rumianku:
- Przygotowanie: Łyżkę suszonych koszyczków rumianku zalej szklanką wrzącej wody.
- Parzenie: Przykryj i odstaw na 10-15 minut.
- Odcedzenie: Po ostygnięciu odcedź napar.
- Stosowanie: Płucz jamę ustną 2-3 razy dziennie. Rumianek znany jest ze swoich właściwości przeciwzapalnych i łagodzących podrażnienia.
-
Płukanka z kory dębu:
- Przygotowanie: Łyżkę kory dębu zalej szklanką zimnej wody i doprowadź do wrzenia.
- Gotowanie: Gotuj na małym ogniu przez około 5-10 minut.
- Odcedzenie: Po ostygnięciu odcedź wywar.
- Stosowanie: Płucz jamę ustną 2 razy dziennie. Kora dębu ma bardzo silne właściwości ściągające i antybakteryjne, co pomaga w redukcji krwawienia.
-
Płukanka z tymianku:
- Przygotowanie: Łyżeczkę suszonego tymianku zalej szklanką wrzącej wody.
- Parzenie: Przykryj i odstaw na 10 minut.
- Odcedzenie: Po ostygnięciu odcedź.
- Stosowanie: Płucz jamę ustną 2 razy dziennie. Tymianek ma silne działanie antyseptyczne.
Sól i woda utleniona: jak prawidłowo przygotować i stosować te proste roztwory?
Sól i woda utleniona to proste, a zarazem skuteczne środki, które często mamy pod ręką. Ważne jest jednak, aby stosować je prawidłowo, aby nie podrażnić dziąseł.
-
Płukanka z wody z solą:
- Przygotowanie: Rozpuść pół łyżeczki soli (najlepiej niejodowanej) w szklance ciepłej wody.
- Stosowanie: Płucz jamę ustną przez około 30 sekund, 2-3 razy dziennie. Sól działa antyseptycznie i pomaga zmniejszyć obrzęk. Jest to bardzo łagodny i bezpieczny sposób na ukojenie podrażnionych dziąseł.
-
Płukanka z wody utlenionej:
- Przygotowanie: Rozcieńcz 1 łyżkę 3% wody utlenionej w pół szklanki wody. Nigdy nie stosuj nierozcieńczonej wody utlenionej!
- Stosowanie: Płucz jamę ustną przez około 30 sekund, nie częściej niż raz dziennie i nie dłużej niż przez kilka dni. Woda utleniona ma silne właściwości antybakteryjne, ale jej nadużywanie może podrażniać błony śluzowe. Po płukaniu wodą utlenioną zawsze dokładnie wypłucz usta czystą wodą.
Dieta dla zdrowych dziąseł: co jeść, a czego unikać, by wspomóc leczenie?
To, co jemy, ma ogromny wpływ na cały nasz organizm, w tym na zdrowie dziąseł. Jak już wspomniałem, niedobory witamin C i K mogą osłabiać dziąsła, czyniąc je bardziej podatnymi na stany zapalne. Dlatego tak ważne jest, aby nasza dieta była bogata w te składniki. Witamina C jest niezbędna do produkcji kolagenu, który buduje tkanki dziąseł, a witamina K odgrywa kluczową rolę w procesie krzepnięcia krwi, co pomaga w walce z krwawiącymi dziąsłami. Poza tym, ogólne zasady zdrowego żywienia, takie jak unikanie przetworzonej żywności i nadmiaru cukru, również wspierają zdrowie jamy ustnej.Produkty wspierające zdrowie dziąseł:
- Bogate w witaminę C: cytrusy (pomarańcze, grejpfruty), kiwi, papryka (zwłaszcza czerwona), brokuły, truskawki, natka pietruszki.
- Bogate w witaminę K: zielone warzywa liściaste (szpinak, jarmuż, sałata), brokuły, brukselka.
- Produkty pełnoziarniste: dostarczają błonnika i witamin z grupy B, wspierając ogólne zdrowie.
- Chude białko: ryby, drób, rośliny strączkowe budulec dla tkanek.
- Woda: nawadnia, pomaga w produkcji śliny, która naturalnie oczyszcza jamę ustną.
Produkty, których należy unikać:
- Słodzone napoje i słodycze: cukier jest pożywką dla bakterii, które produkują kwasy niszczące szkliwo i podrażniające dziąsła.
- Kwaśne potrawy i napoje: mogą osłabiać szkliwo i podrażniać wrażliwe dziąsła.
- Twarde, chrupiące przekąski: mogą uszkadzać dziąsła i utykać w przestrzeniach międzyzębowych.
Największe błędy w domowej kuracji: tego absolutnie nie rób!
Chociaż domowe sposoby są pomocne, łatwo o błędy, które mogą pogorszyć sytuację. Z mojego doświadczenia wynika, że najczęściej popełniane to:
- Zbyt długie stosowanie silnych płukanek: Preparaty z chlorheksydyną czy nawet woda utleniona, choć skuteczne, nie powinny być używane przez długi czas. Mogą zaburzać naturalną florę bakteryjną jamy ustnej, a chlorheksydyna dodatkowo przebarwiać zęby.
- Ignorowanie nasilających się objawów: Jeśli pomimo domowej kuracji objawy nie ustępują po kilku dniach, a wręcz się nasilają pojawia się silny ból, duży obrzęk, gorączka to znak, że potrzebna jest natychmiastowa pomoc specjalisty.
- Brak konsultacji ze specjalistą: Samoleczenie ma swoje granice. Jeśli nie jesteś pewien przyczyny stanu zapalnego lub masz wątpliwości co do wyboru metody leczenia, zawsze skonsultuj się ze stomatologiem.
- Zastępowanie higieny płukankami: Płukanki są uzupełnieniem, a nie zamiennikiem prawidłowego szczotkowania i nitkowania zębów. Bez usunięcia płytki nazębnej i kamienia, żadna płukanka nie rozwiąże problemu u jego źródła.
Kiedy domowe sposoby nie wystarczą: profesjonalna pomoc z apteki i gabinetu
Niestety, nie zawsze domowe metody są wystarczające. Czasami potrzebne jest wsparcie farmakologiczne lub profesjonalne zabiegi stomatologiczne. Warto wiedzieć, kiedy i po co sięgnąć.
Pasty, żele i płyny bez recepty: co wybrać? Przegląd skutecznych substancji czynnych (np. chlorheksydyna)
Na polskim rynku dostępna jest szeroka gama produktów bez recepty, które mogą wspomóc leczenie zapalenia dziąseł. Są to specjalistyczne pasty do zębów, płyny do płukania ust oraz żele do stosowania miejscowego. Ich zadaniem jest redukcja bakterii, łagodzenie stanu zapalnego i przyspieszenie regeneracji dziąseł.
- Pasty do zębów: Często zawierają ekstrakty ziołowe (np. szałwia, rumianek, eukaliptus), fluor, a czasem również łagodne środki antybakteryjne.
- Płyny do płukania ust: Najskuteczniejsze są te zawierające chlorheksydynę (w różnych stężeniach), która ma silne działanie antybakteryjne. Dostępne są również płyny z dodatkiem fluoru, ksylitolu czy ekstraktów ziołowych.
- Żele do stosowania miejscowego: Zawierają substancje przeciwzapalne, łagodzące ból (np. lidokaina) oraz wspomagające gojenie (np. kwas hialuronowy, chlorheksydyna).
Jak działają specjalistyczne produkty i jak je prawidłowo stosować?
Produkty z chlorheksydyną są jednymi z najskuteczniejszych w walce z bakteriami odpowiedzialnymi za zapalenie dziąseł. Chlorheksydyna przylega do powierzchni zębów i błon śluzowych, stopniowo uwalniając się i działając antybakteryjnie przez wiele godzin. Jest to szczególnie ważne w przypadku silnych stanów zapalnych, gdy mechaniczne usuwanie płytki jest utrudnione. Pamiętajmy jednak, że preparaty z chlorheksydyną zaleca się stosować krótkotrwale zazwyczaj przez 7 do 14 dni, chyba że stomatolog zaleci inaczej. Dłuższe używanie może prowadzić do przebarwień zębów i języka, a także do zaburzeń smaku. Inne specjalistyczne preparaty, takie jak żele z kwasem hialuronowym, działają regenerująco i nawilżająco, wspomagając gojenie uszkodzonych tkanek. Zawsze należy dokładnie zapoznać się z ulotką i stosować się do zaleceń producenta lub stomatologa.
Czerwona flaga: kiedy wizyta u stomatologa staje się absolutną koniecznością?
Chociaż domowe sposoby i produkty bez recepty mogą pomóc w łagodnych przypadkach, istnieją sytuacje, kiedy nie ma co zwlekać z wizytą u specjalisty. Moim zdaniem, absolutna konieczność pojawia się, gdy:
- Objawy zapalenia dziąseł (silny ból, krwawienie, obrzęk) nie ustępują po kilku dniach intensywnej domowej kuracji.
- Objawy nasilają się, a stan dziąseł wyraźnie się pogarsza.
- Pojawia się ropień, silny ból utrudniający jedzenie i mówienie, lub gorączka.
- Zauważasz cofanie się dziąseł lub rozchwianie zębów to sygnały zaawansowanej choroby przyzębia.
- Masz choroby przewlekłe, takie jak cukrzyca, które zwiększają ryzyko powikłań.
- Krwawienie z dziąseł jest bardzo obfite i nie ustępuje.
W takich sytuacjach wizyta u stomatologa lub periodontologa (specjalisty od chorób przyzębia) jest niezbędna. Tylko profesjonalista może postawić trafną diagnozę i zaplanować skuteczne leczenie.
Skaling, piaskowanie, kiretaż: co dokładnie czeka cię w gabinecie dentystycznym?
Kiedy domowe metody zawodzą, stomatolog sięga po profesjonalne zabiegi. Są one kluczowe w usunięciu głównej przyczyny problemu płytki bakteryjnej i kamienia nazębnego. Oto najczęściej wykonywane procedury:
- Skaling: To podstawowy zabieg polegający na usunięciu kamienia nazębnego (naddziąsłowego i poddziąsłowego) za pomocą ultradźwięków. Kamień jest twardą warstwą zmineralizowanej płytki bakteryjnej, której nie da się usunąć szczoteczką. Jego usunięcie jest absolutnie kluczowe dla zdrowia dziąseł.
- Piaskowanie: Po skalingu często wykonuje się piaskowanie. Polega ono na usunięciu osadów i przebarwień z powierzchni zębów za pomocą strumienia wody, powietrza i specjalnego proszku. Dzięki temu zęby stają się gładkie, co utrudnia ponowne osadzanie się płytki bakteryjnej.
- Kiretaż: W bardziej zaawansowanych przypadkach, gdy doszło do powstania głębokich kieszonek dziąsłowych (przestrzeni między zębem a dziąsłem, w których gromadzą się bakterie), może być konieczny kiretaż. Jest to zabieg polegający na głębokim oczyszczeniu tych kieszonek z kamienia poddziąsłowego, ziarniny zapalnej i toksyn bakteryjnych. Kiretaż może być otwarty (z odchyleniem płata dziąsłowego) lub zamknięty (bez odchylania).
Te zabiegi są fundamentem w leczeniu zapalenia dziąseł i paradontozy, ponieważ eliminują środowisko sprzyjające rozwojowi bakterii.
Lepiej zapobiegać niż leczyć: zbuduj pancerz ochronny dla swoich dziąseł
Najlepszym sposobem na zdrowe dziąsła jest zapobieganie. Regularna i prawidłowa higiena jamy ustnej to podstawa, ale warto zwrócić uwagę na detale, które robią różnicę.Technika ma znaczenie: jak prawidłowo szczotkować i nitkować zęby?
Wielu moich pacjentów jest zaskoczonych, gdy dowiaduje się, że szczotkują zęby nieprawidłowo. Sama częstotliwość nie wystarczy liczy się technika. Oto moje wskazówki:
-
Szczotkowanie zębów:
- Częstotliwość: Szczotkuj zęby minimum 2 razy dziennie, najlepiej rano po śniadaniu i wieczorem przed snem. Idealnie byłoby szczotkować po każdym głównym posiłku.
- Czas: Każde szczotkowanie powinno trwać co najmniej 2 minuty. Użyj stopera lub zegarka, aby kontrolować czas.
- Technika: Ustaw szczoteczkę pod kątem 45 stopni do linii dziąseł, tak aby włosie obejmowało zarówno ząb, jak i część dziąsła. Wykonuj delikatne, wymiatające ruchy od dziąsła do korony zęba. Unikaj szorowania w poprzek, które może uszkadzać dziąsła i szkliwo. Pamiętaj o dokładnym wyszczotkowaniu wszystkich powierzchni zębów zewnętrznych, wewnętrznych i żujących.
- Język: Delikatnie wyszczotkuj również język, aby usunąć bakterie odpowiedzialne za nieświeży oddech.
-
Nitkowanie zębów lub użycie irygatora:
- Częstotliwość: Używaj nici dentystycznej lub irygatora przynajmniej raz dziennie, najlepiej wieczorem.
- Nitkowanie: Odmierz około 40-50 cm nici. Owiń końce wokół palców wskazujących. Delikatnie wprowadź nić w przestrzeń międzyzębową, przesuwając ją w górę i w dół, obejmując nić wokół każdego zęba w kształcie litery "C". Pamiętaj, aby nie szarpać nicią, aby nie uszkodzić dziąseł.
- Irygator: Jeśli używasz irygatora, napełnij go wodą (możesz dodać płyn do płukania ust). Skieruj strumień wody prostopadle do przestrzeni międzyzębowych i wzdłuż linii dziąseł, usuwając resztki jedzenia i płytkę bakteryjną.
Wybór idealnej szczoteczki i pasty: na co zwrócić uwagę w sklepie?
Wybór odpowiednich narzędzi to podstawa skutecznej higieny. Na rynku jest mnóstwo produktów, co może być przytłaczające, ale moim zdaniem warto zwrócić uwagę na kilka kluczowych aspektów.
Szczoteczka do zębów:
- Miękkie włosie: Zawsze rekomenduję szczoteczki z miękkim lub średnio twardym włosiem. Twarde włosie może uszkadzać dziąsła i szkliwo.
- Mała główka: Ułatwia dotarcie do trudno dostępnych miejsc w jamie ustnej.
- Rodzaj: Czy będzie to szczoteczka manualna, elektryczna (rotacyjna lub soniczna), czy soniczna to w dużej mierze kwestia indywidualnych preferencji i techniki. Szczoteczki soniczne są często polecane ze względu na wysoką skuteczność w usuwaniu płytki nazębnej i delikatność dla dziąseł.
- Wymiana: Pamiętaj o regularnej wymianie szczoteczki (lub końcówki w elektrycznej) co 3 miesiące lub wcześniej, jeśli włosie jest zużyte.
Pasta do zębów:
- Fluor: Zawsze wybieraj pastę z fluorem, który wzmacnia szkliwo i chroni przed próchnicą.
- Dla wrażliwych dziąseł: Jeśli masz tendencję do zapaleń, szukaj past specjalistycznych, które zawierają ekstrakty ziołowe (szałwia, rumianek), alantoinę, bisabolol lub inne składniki łagodzące i przeciwzapalne.
- Unikaj past wybielających: Niektóre pasty wybielające mogą być zbyt abrazyjne dla wrażliwych dziąseł i szkliwa.
Irygator: czy to urządzenie jest dla ciebie? Zalety i wady
Irygator to coraz popularniejsze urządzenie do higieny jamy ustnej, które generuje pulsacyjny strumień wody. Może być doskonałym uzupełnieniem codziennej higieny, szczególnie dla osób z aparatem ortodontycznym, implantami, mostami czy tendencją do zapaleń dziąseł.
Zalety irygatora:
- Skuteczne czyszczenie przestrzeni międzyzębowych: Dociera tam, gdzie nić dentystyczna ma problem, usuwając resztki jedzenia i płytkę bakteryjną.
- Masaż dziąseł: Strumień wody delikatnie masuje dziąsła, poprawiając ich ukrwienie i kondycję.
- Idealny dla osób z problemami: Niezastąpiony dla osób z ciasnymi przestrzeniami międzyzębowymi, mostami, koronami, implantami czy aparatem ortodontycznym.
- Świeży oddech: Pomaga w redukcji bakterii odpowiedzialnych za halitozę.
Wady irygatora:
- Nie zastępuje szczotkowania: Irygator jest uzupełnieniem, a nie zamiennikiem szczotkowania zębów.
- Koszty: Początkowy wydatek na urządzenie może być spory.
- Wymaga miejsca: Stacjonarne irygatory zajmują miejsce w łazience.
- Krzywa uczenia: Na początku może być trochę nieporęczny w użyciu, ale szybko można nabrać wprawy.
Moim zdaniem, irygator to świetna inwestycja w zdrowie jamy ustnej, zwłaszcza jeśli masz skłonności do problemów z dziąsłami lub nosisz aparat ortodontyczny. Warto rozważyć jego zakup i włączyć go do codziennej rutyny.
Przeczytaj również: Jak usunąć klej do protez z dziąseł? Poznaj 5 bezpiecznych kroków
Jak często odwiedzać dentystę, aby utrzymać dziąsła w idealnej kondycji?
Regularne wizyty kontrolne u dentysty to fundament profilaktyki i utrzymania zdrowia dziąseł. Nawet jeśli skrupulatnie dbasz o higienę w domu, profesjonalne czyszczenie i ocena stanu jamy ustnej są niezastąpione. Zazwyczaj zalecam wizyty kontrolne co 6-12 miesięcy. Podczas takiej wizyty stomatolog nie tylko sprawdzi stan zębów pod kątem próchnicy, ale również dokładnie oceni kondycję dziąseł, poszuka ewentualnych kieszonek dziąsłowych i usunie kamień nazębny, który mógł się nagromadzić pomimo codziennego szczotkowania. To pozwala na wczesne wykrycie i interwencję w przypadku jakichkolwiek problemów, zanim rozwiną się w coś poważniejszego. Pamiętajmy, że profilaktyka jest zawsze łatwiejsza i tańsza niż leczenie zaawansowanych chorób.
