Wizyta u dentysty to znacznie więcej niż tylko szybkie sprawdzenie, czy nie pojawiła się nowa dziura w zębie. To kompleksowe badanie, które może ujawnić zaskakująco wiele o Twoim ogólnym stanie zdrowia, a nawet o nawykach, które nieświadomie wpływają na Twoją jamę ustną. Zrozumienie pełnego zakresu diagnostyki stomatologicznej może nie tylko uspokoić obawy związane z wizytą, ale także zmotywować do regularnych kontroli, które są kluczowe dla wczesnego wykrywania wielu problemów.
Wizyta u dentysty to kompleksowy przegląd zdrowia co może zdradzić Twoja jama ustna?
- Dentysta diagnozuje nie tylko próchnicę i kamień nazębny, ale także choroby dziąseł (zapalenie, paradontoza), bruksizm czy erozję szkliwa.
- Jama ustna jest lustrem organizmu, wskazując na choroby ogólnoustrojowe, takie jak cukrzyca, anemia, osteoporoza czy refluks żołądkowo-przełykowy.
- Badanie pozwala wykryć ślady nawyków życiowych (palenie, dieta) oraz wczesne zmiany nowotworowe w obrębie jamy ustnej.
- Nowoczesne technologie diagnostyczne, takie jak kamery wewnątrzustne i cyfrowe RTG, wspierają precyzyjną ocenę stanu zdrowia.
- Regularne wizyty kontrolne u stomatologa są kluczową inwestycją w profilaktykę i wczesne wykrywanie wielu problemów zdrowotnych.
Co kryje się za rutynowym przeglądem jamy ustnej?
Kiedy siadasz na fotelu stomatologicznym, moje zadanie wykracza daleko poza proste liczenie zębów i szukanie próchnicy. Rutynowy przegląd to holistyczna ocena stanu Twojej jamy ustnej, która jest często odzwierciedleniem całego organizmu. Podczas takiej wizyty szczegółowo oceniam stan Twoich dziąseł, szukając wszelkich oznak zapalenia czy rozwijającej się paradontozy, takich jak krwawienie, obrzęk czy obecność kieszonek dziąsłowych. Zwracam również uwagę na starcie zębów, które może być sygnałem bruksizmu, czyli nieświadomego zgrzytania zębami, często występującego w nocy. Analizuję także erozję szkliwa, która może wskazywać na niewłaściwą dietę, nadmierne spożycie napojów gazowanych czy soków, a nawet na chorobę refluksową. Co więcej, podczas każdej wizyty kontrolnej mam obowiązek dokładnie zbadać błonę śluzową jamy ustnej, warg, języka i gardła, aby wcześnie wykryć ewentualne zmiany nowotworowe lub stany przedrakowe. To kompleksowe podejście pozwala mi nie tylko leczyć bieżące problemy, ale także wskazywać na potencjalne zagrożenia dla Twojego zdrowia ogólnego.
Jak przygotować się do wizyty, aby dentysta mógł zobaczyć wszystko?
Aby wizyta kontrolna była jak najbardziej efektywna i pozwoliła mi na pełną diagnozę, warto się do niej odpowiednio przygotować. Oto kilka wskazówek:
- Umyj zęby i użyj nici dentystycznej: To podstawa. Czysta jama ustna pozwala mi lepiej ocenić stan zębów i dziąseł, bez zakłóceń w postaci resztek jedzenia czy świeżego osadu.
- Przygotuj listę leków i suplementów: Wiele leków może wpływać na zdrowie jamy ustnej, np. powodując suchość w ustach. Informacja o przyjmowanych preparatach jest dla mnie bardzo cenna.
- Poinformuj o chorobach przewlekłych: Cukrzyca, choroby serca, osteoporoza to tylko niektóre schorzenia, które mają bezpośredni wpływ na stan jamy ustnej i przebieg leczenia stomatologicznego.
- Opowiedz o swoich nawykach: Czy palisz? Pijesz dużo kawy, herbaty, napojów gazowanych? A może zauważyłeś u siebie zgrzytanie zębami? Te informacje są dla mnie kluczowe do postawienia trafnej diagnozy i zaproponowania odpowiedniej profilaktyki.
- Zgłoś wszelkie niepokojące objawy: Nawet te, które wydają Ci się błahe nietypowe ranki, zmiany koloru błon śluzowych, bóle głowy czy szczęki mogą być ważnymi wskazówkami.
Szczera i otwarta rozmowa to podstawa. Im więcej wiem o Twoim zdrowiu i stylu życia, tym precyzyjniej mogę ocenić stan Twojej jamy ustnej i zaplanować ewentualne leczenie.
Fundamenty zdrowia jamy ustnej: Pierwsze kroki w diagnostyce
Zacznijmy od podstaw, czyli od tego, co najczęściej kojarzy się z wizytą u dentysty. Nawet w dobie zaawansowanej diagnostyki, te elementarne problemy wciąż stanowią dużą część mojej pracy i są pierwszymi sygnałami, że coś w Twojej jamie ustnej wymaga uwagi.Podstawowe zagrożenia: Próchnica, kamień i choroby dziąseł
Podczas każdego przeglądu dokładnie sprawdzam każdy ząb pod kątem próchnicy, używając lusterka i zgłębnika. Szukam nawet najmniejszych ubytków, które mogłyby się rozwijać. Równie ważne jest dla mnie zidentyfikowanie nagromadzonego kamienia nazębnego, który jest główną przyczyną wielu problemów. Kamień to nic innego jak stwardniała płytka bakteryjna, której nie da się usunąć zwykłym szczotkowaniem. Jego obecność prowadzi do stanów zapalnych dziąseł, a w konsekwencji do poważniejszych chorób przyzębia. Właśnie dlatego tak dużą uwagę poświęcam ocenie stanu dziąseł. Oto sygnały, które wskazują na problemy:
- Krwawienie dziąseł: Nawet niewielkie krwawienie podczas szczotkowania czy nitkowania to sygnał ostrzegawczy świadczący o zapaleniu.
- Obrzęk i zaczerwienienie: Zdrowe dziąsła są różowe i przylegają ciasno do zębów. Ich obrzęk i intensywne zaczerwienienie to wyraźne objawy stanu zapalnego.
- Ból i tkliwość: Dziąsła mogą być wrażliwe na dotyk, co utrudnia higienę i spożywanie niektórych pokarmów.
- Nieprzyjemny zapach z ust (halitoza): Często jest wynikiem nagromadzenia bakterii w stanach zapalnych dziąseł.
- Kieszonki dziąsłowe: To przestrzenie między zębem a dziąsłem, które pogłębiają się w miarę postępu paradontozy, stając się idealnym miejscem dla rozwoju bakterii.
- Ruchomość zębów: W zaawansowanym stadium paradontozy, kiedy kość wokół zębów ulega zanikowi, zęby mogą stać się ruchome.
Wczesne wykrycie tych problemów jest kluczowe, aby zapobiec ich progresji i utracie zębów.
Ocena wypełnień i prac protetycznych: Czy Twoje "stare plomby" są nadal bezpieczne?
Podczas wizyty kontrolnej nie skupiam się wyłącznie na naturalnych tkankach zęba. Równie ważna jest dla mnie ocena stanu wszystkich istniejących wypełnień, czyli popularnych "plomb". Sprawdzam ich szczelność, ponieważ nieszczelne wypełnienie może prowadzić do rozwoju próchnicy wtórnej pod plombą, często niewidocznej na pierwszy rzut oka. Oceniam również ich zużycie czy nie są starte, pęknięte, czy ich kształt nadal prawidłowo odtwarza anatomię zęba, co jest istotne dla prawidłowego zgryzu i funkcji żucia. Podobnie postępuję z wszelkimi pracami protetycznymi, takimi jak korony, mosty czy licówki. Kontroluję ich dopasowanie, stabilność oraz to, czy nie ma pod nimi nieszczelności lub stanów zapalnych dziąseł. Pamiętaj, że nawet najlepiej wykonana praca protetyczna wymaga regularnej kontroli, aby służyła Ci przez długie lata.
Zęby jako świadectwo stylu życia: Co zdradzają Twoje nawyki?
Twoja jama ustna to prawdziwa księga, w której zapisane są ślady codziennych wyborów i nawyków. Jako dentysta, potrafię z niej wyczytać znacznie więcej niż tylko to, co jesz czy pijesz. To fascynujące, jak wiele informacji o Twoim stylu życia mogę uzyskać, po prostu patrząc na Twoje zęby i błony śluzowe.
Ślady po kawie, herbacie i papierosach: Jak używki wpływają na wygląd szkliwa?
Nie da się ukryć, że pewne nawyki pozostawiają w jamie ustnej bardzo charakterystyczne ślady. Palenie tytoniu to jeden z najbardziej destrukcyjnych czynników. U palaczy często obserwuję żółto-brązowe osady na zębach, szczególnie na powierzchniach językowych i podniebiennych. Co więcej, dym tytoniowy powoduje zmiany na błonie śluzowej, takie jak leukoplakia białe, nieusuwalne plamy, które są stanem przedrakowym i wymagają szczególnej uwagi. Palenie znacząco zwiększa również ryzyko chorób dziąseł i paradontozy, a także utrudnia gojenie się ran w jamie ustnej. Podobnie, choć w mniejszym stopniu, na przebarwienia wpływają częste spożycie kawy i herbaty, które z czasem mogą prowadzić do ciemnienia szkliwa. Te obserwacje są dla mnie ważnym punktem wyjścia do rozmowy o zmianie nawyków, które szkodzą Twojemu zdrowiu.
Cukier i kwasowa erozja: Czego dentysta dowiaduje się o Twojej diecie?
Twoja dieta ma ogromny wpływ na zdrowie jamy ustnej. Nadmierne spożycie cukrów to prosta droga do próchnicy. Bakterie w jamie ustnej przetwarzają cukry w kwasy, które atakują szkliwo, prowadząc do demineralizacji i powstawania ubytków. Ale to nie tylko cukier jest problemem. Kwaśne napoje, takie jak gazowane wody, soki owocowe czy napoje energetyczne, również są bardzo szkodliwe. Prowadzą one do erozji szkliwa, czyli jego chemicznego rozpuszczania, co sprawia, że zęby stają się wrażliwe, a ich powierzchnia matowa i szorstka. Podczas przeglądu potrafię rozpoznać charakterystyczne wzory erozji, które mogą wskazywać na częste spożywanie takich napojów. Co więcej, objawy bulimii, takie jak erozja szkliwa od wewnętrznej strony zębów (spowodowana częstym kontaktem z kwasem żołądkowym), są dla mnie wyraźnym sygnałem, że pacjent może zmagać się z poważnymi problemami zdrowotnymi, wykraczającymi poza stomatologię.
Bruksizm, czyli cichy niszczyciel: Czy zgrzytasz zębami we śnie?
Bruksizm, czyli nieświadome zgrzytanie lub zaciskanie zębów, to problem, który dotyka wielu osób, często nie zdających sobie z niego sprawy. Najczęściej występuje w nocy, podczas snu, ale może pojawiać się również w ciągu dnia, np. w sytuacjach stresowych. Konsekwencje bruksizmu są poważne: prowadzi do nadmiernego starcia zębów (atrycji), pęknięć szkliwa, a nawet złamań zębów. Pacjenci często skarżą się na bóle głowy, karku, sztywność mięśni żwaczy oraz nadwrażliwość zębów. Podczas rutynowego przeglądu mogę zdiagnozować bruksizm, obserwując charakterystyczne, płaskie powierzchnie starcia na zębach, nadmierne napięcie mięśni żwaczy czy powiększenie ich objętości. Wczesne rozpoznanie tego problemu jest kluczowe, aby zapobiec dalszym uszkodzeniom i zaproponować odpowiednie leczenie, np. w postaci szyny relaksacyjnej.Wpływ leków i suplementów: Kiedy farmakoterapia odbija się na zdrowiu jamy ustnej?
Niektóre leki i suplementy, choć niezbędne dla ogólnego zdrowia, mogą mieć niepożądane skutki uboczne w jamie ustnej. Jednym z najczęstszych problemów jest suchość w ustach, czyli kserostomia, wywoływana przez wiele preparatów, m.in. leki antydepresyjne, przeciwhistaminowe, na nadciśnienie czy moczopędne. Suchość w ustach sprzyja rozwojowi próchnicy, chorób dziąseł i infekcji grzybiczych, ponieważ ślina odgrywa kluczową rolę w ochronie jamy ustnej. Inne leki mogą powodować przerost dziąseł (np. niektóre leki na padaczkę czy immunosupresyjne) lub zmiany w odczuwaniu smaku. Dlatego tak ważne jest, abyś podczas wizyty kontrolnej poinformował mnie o wszystkich przyjmowanych lekach i suplementach. Dzięki temu mogę uwzględnić te czynniki w diagnozie i zaproponować odpowiednie działania profilaktyczne lub łagodzące skutki uboczne.

Lustro zdrowia: Choroby ogólnoustrojowe widoczne w jamie ustnej
Jama ustna jest niczym okno na resztę organizmu. Wiele chorób ogólnoustrojowych, zanim objawią się w pełni, daje o sobie znać poprzez specyficzne zmiany w jamie ustnej. To właśnie dlatego moja rola jako dentysty wykracza poza leczenie zębów jestem często pierwszym specjalistą, który może zauważyć sygnały alarmowe dotyczące Twojego ogólnego stanu zdrowia.
Cukrzyca: Słodki oddech i problemy z dziąsłami jako sygnał alarmowy
Cukrzyca to choroba, która ma znaczący wpływ na zdrowie jamy ustnej. Jednym z charakterystycznych objawów, na które zwracam uwagę, jest suchość w ustach (kserostomia), spowodowana zmniejszoną produkcją śliny. Pacjenci z niekontrolowaną cukrzycą mogą również mieć charakterystyczny, owocowy zapach z ust, przypominający zapach acetonu to sygnał kwasicy ketonowej, stanu wymagającego natychmiastowej interwencji medycznej. Co więcej, cukrzyca znacząco zwiększa ryzyko rozwoju chorób dziąseł i paradontozy. U diabetyków stany zapalne dziąseł są często bardziej agresywne, trudniejsze do leczenia i szybciej prowadzą do zaniku kości wokół zębów. Niekontrolowana cukrzyca upośledza również proces gojenia się ran, co ma znaczenie w przypadku zabiegów stomatologicznych. Dlatego, jeśli zauważam takie objawy, zawsze sugeruję konsultację z lekarzem rodzinnym w celu wykluczenia lub potwierdzenia cukrzycy.
Anemia i niedobory witamin: Co widać na języku i błonach śluzowych?
Niedobory żywieniowe i anemia często manifestują się w jamie ustnej. Bladość dziąseł, a także całej błony śluzowej jamy ustnej, może być wyraźną oznaką anemii, czyli niedokrwistości. To sygnał, że organizmowi brakuje czerwonych krwinek lub hemoglobiny. Zmiany mogą być również widoczne na języku: wygładzony, czerwony, piekący język (tzw. język Huntera) może sugerować niedobory witamin z grupy B, żelaza lub kwasu foliowego. Pęknięcia w kącikach ust (zajady) również często wskazują na brak witamin z grupy B. Te objawy są dla mnie ważnymi wskazówkami diagnostycznymi, które pozwalają mi zasugerować dalsze badania krwi i konsultację z lekarzem.
Choroby serca a paradontoza: Niebezpieczny związek, którego nie można ignorować
To jeden z najbardziej niepokojących związków, który podkreśla, jak bardzo zdrowie jamy ustnej jest splecione z ogólnym stanem organizmu. Istnieje silna korelacja między zaawansowaną chorobą przyzębia (paradontozą) a zwiększonym ryzykiem chorób serca, udaru mózgu i miażdżycy. Mechanizm jest prosty: bakterie wywołujące zapalenie dziąseł i paradontozę mogą przedostawać się do krwiobiegu. Raz w krwiobiegu, te bakterie mogą przyczyniać się do powstawania stanów zapalnych w naczyniach krwionośnych, prowadząc do tworzenia się blaszek miażdżycowych. To z kolei zwiększa ryzyko zawału serca czy udaru. Dlatego leczenie paradontozy to nie tylko ratowanie zębów, ale także inwestycja w zdrowie Twojego serca. Zawsze podkreślam moim pacjentom, że regularne usuwanie kamienia i leczenie stanów zapalnych dziąseł to kluczowy element profilaktyki chorób sercowo-naczyniowych.Refluks żołądkowo-przełykowy: Kiedy problemy z żołądkiem niszczą zęby
Choroba refluksowa przełyku (GERD) to stan, w którym kwas żołądkowy cofa się do przełyku, a czasem nawet do jamy ustnej. Ten kwas jest niezwykle agresywny dla szkliwa zębów. Podczas przeglądu mogę zauważyć charakterystyczną erozję szkliwa, szczególnie na wewnętrznych powierzchniach zębów trzonowych i przedtrzonowych. Zęby stają się wrażliwe na zmiany temperatury, matowe, a ich powierzchnia może być szorstka. Pacjenci często skarżą się na pieczenie w jamie ustnej i nieprzyjemny posmak. Jeśli zauważam takie zmiany, zawsze pytam o objawy refluksu i sugeruję konsultację z gastroenterologiem. Leczenie stomatologiczne w takich przypadkach musi iść w parze z leczeniem choroby podstawowej, aby zapobiec dalszym uszkodzeniom zębów.
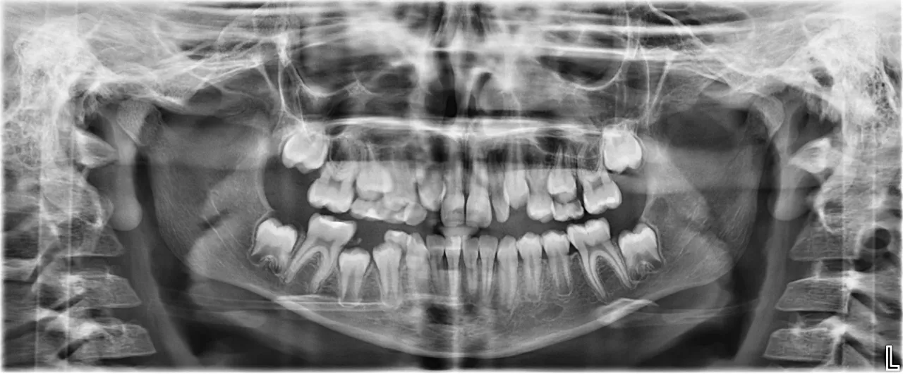
Osteoporoza: Czy zdjęcie rentgenowskie zębów może zdradzić stan Twoich kości?
Osteoporoza, czyli choroba charakteryzująca się zmniejszoną gęstością kości, nie dotyczy tylko kręgosłupa czy kości biodrowych. Ma również wpływ na kości szczęki i żuchwy. Badanie pantomograficzne, czyli panoramiczne zdjęcie rentgenowskie jamy ustnej, które często wykonujemy w gabinecie, może ujawnić zmniejszoną gęstość kości w tych obszarach. Chociaż nie jest to narzędzie do diagnozowania osteoporozy, może być wczesnym sygnałem ostrzegawczym, szczególnie u kobiet po menopauzie, które są w grupie ryzyka. Jeśli zauważam takie zmiany, zawsze sugeruję pacjentowi konsultację z lekarzem w celu dalszej diagnostyki i ewentualnego leczenia. To kolejny przykład, jak stomatologia może być integralną częścią wczesnej diagnostyki chorób ogólnoustrojowych.
Wczesne wykrywanie: Rola dentysty w profilaktyce nowotworowej
Jednym z najpoważniejszych aspektów mojej pracy jest wczesne wykrywanie zmian, które mogą świadczyć o rozwoju nowotworów jamy ustnej. To obszar, w którym regularne wizyty kontrolne mają dosłownie ratujące życie znaczenie.
Jak wygląda badanie pod kątem raka jamy ustnej?
W Polsce, jako dentysta, mam obowiązek podczas każdej wizyty kontrolnej przeprowadzić dokładne badanie przesiewowe pod kątem raka jamy ustnej. To badanie jest szybkie, bezbolesne i może uratować życie. Polega ono na dokładnym obejrzeniu i palpacyjnym (dotykowym) zbadaniu całej jamy ustnej: warg, języka (zarówno jego grzbietu, jak i spodniej strony), błony śluzowej policzków, dna jamy ustnej, podniebienia oraz gardła. Szukam wszelkich nietypowych zmian, takich jak:
- Nietypowe białe plamy (leukoplakia) lub czerwone plamy (erytroplakia), które nie znikają.
- Niewygojone owrzodzenia lub ranki, które utrzymują się dłużej niż dwa tygodnie.
- Guzki, zgrubienia lub obrzęki w obrębie jamy ustnej lub szyi.
- Trudności w połykaniu, mówieniu lub poruszaniu językiem.
- Nietypowe krwawienia.
Wczesne wykrycie tych zmian daje największe szanse na skuteczne leczenie. Dlatego tak ważne jest, aby nie bagatelizować regularnych kontroli, nawet jeśli wydaje Ci się, że wszystko jest w porządku.
Nietypowe ranki i zmiany koloru: Na co zwracać uwagę między wizytami?
Chociaż regularne wizyty u dentysty są kluczowe, Ty również odgrywasz ważną rolę w profilaktyce. Pamiętaj, aby regularnie oglądać swoją jamę ustną. Oto, na co powinieneś zwracać uwagę między wizytami:
- Niewygojone ranki: Jeśli masz rankę, owrzodzenie lub aftę, która utrzymuje się dłużej niż 2 tygodnie i nie goi się, koniecznie zgłoś się do dentysty.
- Nietypowe zmiany koloru: Białe, czerwone lub ciemne plamy na błonach śluzowych, języku czy dziąsłach, które nie znikają, mogą być sygnałem ostrzegawczym.
- Guzki lub zgrubienia: Wszelkie nowe guzki, obrzęki lub zgrubienia, które wyczuwasz językiem lub palcem w jamie ustnej lub na szyi, wymagają natychmiastowej konsultacji.
- Trudności w przełykaniu lub mówieniu: Jeśli nagle pojawiają się problemy z połykaniem, żuciem, mówieniem lub poruszaniem językiem, nie zwlekaj z wizytą u specjalisty.
- Przewlekły ból: Ból w jamie ustnej, uchu lub gardle, który nie ustępuje, również powinien Cię zaniepokoić.
Pamiętaj, że wczesne wykrycie to klucz do sukcesu w leczeniu nowotworów jamy ustnej. Nie bój się zgłaszać mi wszelkich niepokojących objawów lepiej sprawdzić coś raz za dużo, niż raz za mało.
Nowoczesna diagnostyka: Technologie w gabinecie stomatologicznym
Współczesna stomatologia to nie tylko doświadczenie i wiedza lekarza, ale także zaawansowane technologie, które wspierają precyzyjną diagnostykę. W moim gabinecie staram się wykorzystywać najnowsze rozwiązania, aby zapewnić Ci jak najlepszą opiekę.
Kamera wewnątrzustna: Zobacz to, co widzi lekarz
Kamera wewnątrzustna to jedno z moich ulubionych narzędzi, które całkowicie zmienia sposób komunikacji z pacjentem. To niewielkie urządzenie, które pozwala mi na żywo wyświetlać obraz Twoich zębów i błon śluzowych na ekranie monitora. Dzięki temu możesz dosłownie zobaczyć to, co ja widzę próchnicę, kamień nazębny, pęknięcia szkliwa, stany zapalne dziąseł czy nieszczelne wypełnienia. To nie tylko zwiększa Twoją świadomość problemów, ale także pozwala mi lepiej wyjaśnić plan leczenia i jego cel. Kiedy pacjent widzi problem na własne oczy, znacznie łatwiej jest mu zrozumieć potrzebę interwencji i aktywnie zaangażować się w proces leczenia. To narzędzie buduje zaufanie i sprawia, że jesteś współuczestnikiem, a nie tylko biernym odbiorcą moich działań.
Cyfrowe RTG i tomografia CBCT: Precyzyjny obraz bez dużej dawki promieniowania
Radiologia cyfrowa zrewolucjonizowała diagnostykę stomatologiczną. Dzięki cyfrowym zdjęciom rentgenowskim (RVG) mogę uzyskać precyzyjny obraz struktur zęba i kości przy minimalnej dawce promieniowania, znacznie niższej niż w przypadku tradycyjnych klisz. Obrazy są natychmiast dostępne na ekranie, co przyspiesza diagnostykę i pozwala mi na dokładne powiększenie i analizę. Jeszcze bardziej zaawansowaną technologią jest tomografia komputerowa wiązki stożkowej (CBCT). To trójwymiarowe badanie, które dostarcza niezwykle szczegółowych informacji o anatomii kości, położeniu zębów, nerwów i zatok. CBCT jest nieocenione w precyzyjnej diagnostyce, zwłaszcza w planowaniu leczenia implantologicznego, skomplikowanych zabiegów endodontycznych (leczenie kanałowe) czy ekstrakcji zębów zatrzymanych. Dzięki tym technologiom mogę postawić jeszcze dokładniejszą diagnozę i zaplanować leczenie z najwyższą precyzją, co przekłada się na lepsze i bezpieczniejsze wyniki dla Ciebie.
Twój sojusznik w zdrowiu: Podsumowanie roli dentysty
Mam nadzieję, że ten artykuł pomógł Ci zrozumieć, jak wszechstronna i ważna jest rola dentysty w dbaniu o Twoje zdrowie. Moja praca to znacznie więcej niż tylko leczenie zębów to kompleksowa opieka, która obejmuje diagnostykę, profilaktykę i edukację.
Regularny przegląd to nie obowiązek, a inwestycja w przyszłość
Chcę, abyś postrzegał regularne wizyty kontrolne u dentysty nie jako przykry obowiązek, ale jako świadomą inwestycję w swoje ogólne zdrowie i dobre samopoczucie. To właśnie podczas tych rutynowych spotkań mam szansę wcześnie wykryć nie tylko próchnicę czy kamień, ale także sygnały ostrzegawcze dotyczące chorób ogólnoustrojowych, niebezpiecznych nawyków czy potencjalnych zmian nowotworowych. Wczesna diagnoza to klucz do skutecznego leczenia i zapobiegania poważniejszym problemom w przyszłości. Pamiętaj, że profilaktyka jest zawsze lepsza i tańsza niż leczenie zaawansowanych schorzeń.
Przeczytaj również: Czy ortodonta to dentysta? Poznaj kluczowe różnice i wybierz specjalistę
Szczera rozmowa z dentystą: Klucz do pełnej i trafnej diagnozy
Na koniec chciałbym podkreślić, jak kluczowa jest otwarta i szczera komunikacja między nami. Nie bój się zadawać pytań, zgłaszać wszelkich dolegliwości, nawet tych, które wydają Ci się nieistotne, oraz dzielić się informacjami o swojej historii chorób, przyjmowanych lekach i stylu życia. Każda informacja jest dla mnie cenną wskazówką, która pomaga mi postawić trafniejszą diagnozę i zaplanować leczenie, które będzie najlepiej dopasowane do Twoich indywidualnych potrzeb. Wspólnie możemy zadbać o Twój piękny uśmiech i zdrowie całego organizmu.
